下载或打开 医联APP 查看完整评论
立即下载
打开APP
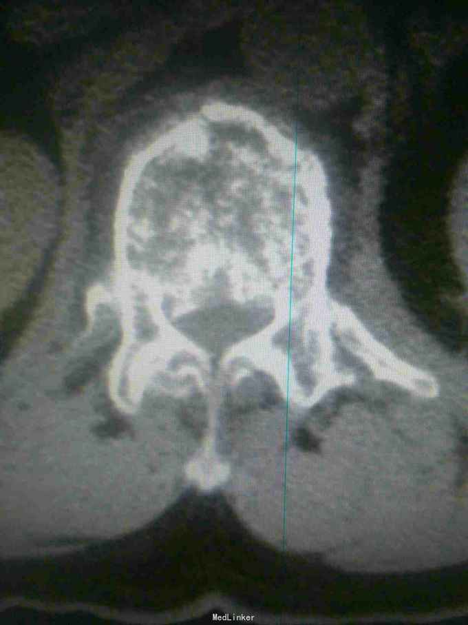
患者因高处坠落致腰痛部疼痛,双下会活动受限9小时入院。患者9小时前从3米高处坠落,腰骶部先着地,即时觉双下肢麻木,不能活动。









查体腰背部压痛,双下肢肌力0级,肌张力减低,会阴区,双下肢痛觉减低,触觉,精细觉正常,腱反射未引出,肛门反射消失,括约肌松弛。
诊断腰1,腰4椎体爆裂性骨折,腰5椎体压缩性骨折,脊髓圆锥损伤双下肢截瘫。患者入院后48小时内行了腰椎后路腰1.4椎体切开复位椎弓根钉内固定,腰1椎板切除,椎管扩大成形,横突间植骨融合术。


1.大家看看这个钉棒打得怎么样,欢迎拍砖,2.由于我院因材料没的问题有,急诊手术能力,影响脊髓损伤病人的手术疗效,,在没有内固定的前提下,一期先减压,二期上内固定,效果怎么样,请同行前辈多指导。