患者女,37岁,因“右侧腰部不适1年”于2015-4-1入院。患者1年前无明显诱因出现右侧腰部不适,无尿频、尿急、尿痛、排尿困难,无血尿、脓尿,在当地医院就诊,查CT及MR均提示右侧输尿管肿物。为求进一步诊治收入我院泌尿外科。患者既往1年前因右附件肿物在外院行右附件切除术。
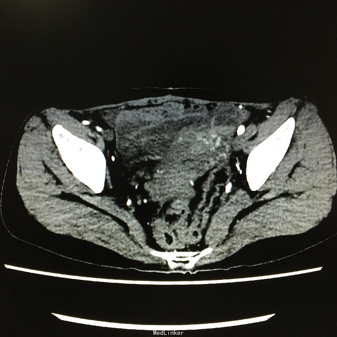
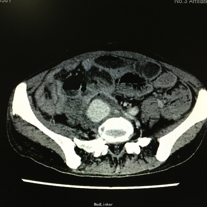
查体无特殊。 辅助检查:中下腹CT平扫+增强+CTU+CTA示:1.右输尿管中上段病变,考虑恶性病变,周围多发淋巴结转移,髂总动脉及髂外动脉起始部、髂内动脉中上段受侵闭塞,右侧腰大肌可疑受侵;建议输尿管镜检查;右肾重度积水,右肾功能明显受损。2.CTA示:右肾动脉纤细,肝右动脉起源于肠系膜上动脉。3.子宫体密度不均匀,建议MRI检查。中下腹MRI平扫+增强+MRU检查结果类似。







诊断:右输尿管肿物。经术前准备,于2015-4-15行右输尿管、右肾切除+右腹膜后脓肿清楚+阑尾切除+回肠病灶切除+端端温和,手术顺利,术后恢复较好,术后病理提示:(肠壁肿物)送检纤维脂肪组织内较多淋巴洗吧,浆细胞浸润,呈慢性改变。(阑尾)慢性阑尾炎伴阑尾周围慢性化脓性改变。(右输尿管)输尿管上皮轻度增生,输尿管壁见较多坏色灶,其内见真菌菌丝,并见较多泡沫细胞聚集,李靶细胞、浆细胞及中性粒细胞浸润,考虑为真菌感染伴脓肿形成,待特殊染色结果进一步协诊。(右肾)肾组织周围部分区域纤维增生,其内见有脓肿灶,并见真菌丝,肾组织内有淋巴细胞,浆细胞及中性粒细胞浸润。(回肠)送检肠粘膜固有层淋巴细胞、浆细胞浸润,肠壁肌层见较多泡沫细胞聚集,部分区域有出血,伴较多淋巴细胞、浆细胞及中性粒细胞浸润,考虑为炎症性病变。(下腔静脉旁淋巴结)淋巴结反应性增生。术后诊断输尿管周围炎:真菌感染伴脓肿形成,真菌培养为曲霉菌感染。术后予患者抗真菌、抗细菌等治疗后好转出院。
患者术后2月出现反复臀部疼痛,左侧为主,疼痛跑迷宫为隐痛,于翻身及活动时加重,卧床休息可稍缓解,多于下午出现,伴有发热,最高达39℃,在当地医院予“氟康唑”及止痛治疗后稍有缓解,但仍反复发热。后疼痛加剧,并出现双下肢疼痛,以大腿外侧为主,无间歇性跛行,无小腿及双足麻木疼痛不适,行对症治疗后效果不佳,于2015-10-9再次返院,予消炎止痛、营养支持及营养神经等治疗。查CT及MRI均提示骶髂关节炎症及腹膜后巨大病变,右侧髂总动脉及髂内、外动脉上段、右侧腰大肌受累。2015-10-15 14:00患者出现右下肢剧烈疼痛、右下肢乏力和麻木,随后出现2次血便,每次量约100ml,暗红色,无腹胀、腹痛等不适,查血提示白细胞 28.17*10E9/L,中性粒绝对值 25.33*10E9/L,血红蛋白56g/L,予止血、输血、抗真菌、止痛等治疗。19:00再次出现右下肢剧烈疼痛伴右下腹痛,查体:BP 80-90/50-60mmHg,P 100-106次/分,R 23次/分,SpO2 100%。右下腹轻压痛,反跳痛阴性,右下肢蹲背伸及踝背伸肌力II-III级,立即行全腹CT检查,示右髂总动脉假性动脉瘤破裂,予加强输注浓缩红细胞及补液支持治疗。清介入科会诊,考虑脓肿和感染为介入血管腔内支架置入治疗的禁忌症,建议予血管外科行开放手术,予患者及家属沟通,并转外院血管外科进一步治疗。




