下载或打开 医联APP 查看完整评论
立即下载
打开APP
主诉:双下肢乏力1月,CT发现右侧肾上腺结节1月余 病史:老年男性,既往有“高血压”病史10余。1月前因血糖增高到我院内分泌科就诊,并出现双下肢麻痹无力,入院查血钾最低值为2.64mmol/L,血压偏高,最高达170/80mmHg,查双肾CT结果提示:右侧肾上腺结节,考虑腺瘤可能性大;当时未予特殊处理,控制好血糖、血压后出院。出院后无特殊不适,今为进一步治疗肾上腺结节到我院就诊。
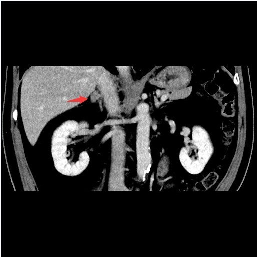
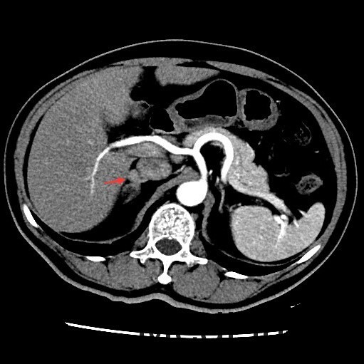
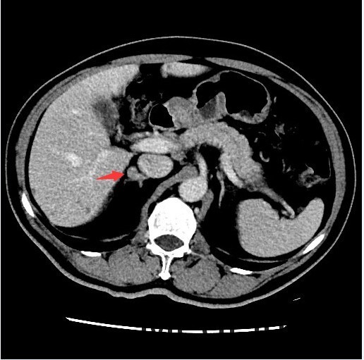
查体::血压:140/80mmHg。双肾区无红肿、隆起,无叩痛,双侧肋脊点、肋腰点无压痛。 辅查:双肾上腺CT提示:右侧肾上腺结节,考虑腺瘤可能性大,右侧小囊肿,肝内多发囊肿。




诊断:右侧肾上腺腺瘤 治疗:住院后完善相关检查,相关检查未见手术禁忌。经术前准备,于全麻下行右侧腹腔镜下肾上腺腺瘤切除术,手术顺利,术后恢复较好。
随访:术后病理示:考虑为肾上腺皮质腺瘤。 讨论:肾上腺腺瘤是来源肾上腺皮质的腺瘤,根据临床表现不同,临床分为无功能性腺瘤、功能性腺瘤(又分为Cushing腺瘤和Conn腺瘤),本例患者具有乏力、低血钾和高血压等醛固酮增多症表现,应属于Conn腺瘤。该类腺瘤一般表现为肾上腺区的孤立性小肿块,边界清楚,大小一般不超过2cm,由于富含脂质,CT平扫密度接近于水样密度,增强扫描轻度强化,本例的CT影响表现基本符合。

