下载或打开 医联APP 查看完整评论
立即下载
打开APP
打开应用
氟斑牙黑牙洁牙美白
伊尔用户
伊尔意口腔
主诉 病史
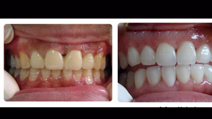
患者:男,40岁,重度氟斑牙,黑牙,需洁牙,牙周冲洗上药及冷光美白。
发布于 15-10-21 10:00
医联推荐你看
重度氟斑牙美白术
氟斑牙的美白
氟斑牙黑牙 洁牙美容
共
0
个评论
暂无评论
发送
0