打开应用

特殊位置动脉瘤一例及术中特殊动脉变异

邹医师   温州市人民医院
动脉瘤

主诉 病史

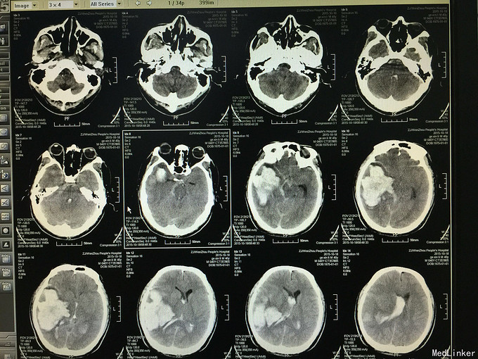
突发意识不清3小时来院,有脑疝前期表现

查体 辅查

gcs计5分,双侧瞳孔不对称,左侧偏袒,左侧病理征阳性

诊断 处理

行开颅血肿清除加动脉瘤夹闭,图一术中可见动脉变异,依次为后交通动脉、脉络膜前动脉、钩动脉。图二为术后复查cta,提示动脉瘤位于脉络膜前动脉穿脉络裂后的远端。

随访 讨论

我找的一些资料

发布于 15-10-20 22:30

4 个评论

发送