主诉:左下后牙冷热刺激痛3月余。 现病史:患者近6月来咀嚼食物嵌塞痛,后逐渐冷热激发性疼痛,曾有自发痛史,今来诊求治疗。 既往史:体健,否认全身系统性疾病,否认药敏史,否认重大手术史及输血史,否认家族性遗传病史。
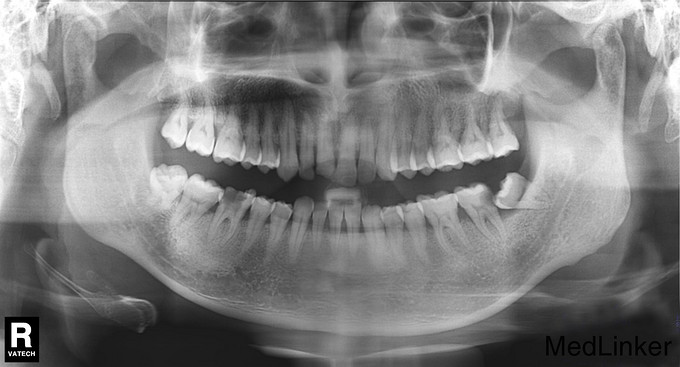
检查:颌面部左右基本对称,开口度及开口型正常。38近中低位阻生,未探及龋坏,叩痛(—),无明显松动,牙龈无明显红肿;37合面及远中见龋损,龋洞内大量嵌塞食物,腐质较多,探痛明显,叩痛(—),无明显松动,牙龈无明显红肿。 X线示:38 近中低位阻生,双根,37 远中邻面低密度影像至髓,根尖区未见明显异常。
诊断:1、38近中阻生 2、37慢性牙髓炎 治疗计划:1、拔除38阻生齿 2、37根管治疗后冠修复 治疗:1. 37利多卡因局麻下,去腐未净露髓,暴露髓腔,降牙合,探及MB、ML、D三个根管口,置非砷慢失活剂,氧化锌水门汀暂封。嘱勿用患牙咬物。 38利多卡因局麻下分龈,去除近中阻力,挺松,拔除,搔刮牙槽窝,复位,局部压迫止血。 2.主诉:左下后牙上次治疗后无不适。 检查:37暂封物在,叩痛(—),牙体无松动,牙龈无明显红肿。 处置:37去除暂封物,拔残髓,10号C锉疏通根管,干燥根管,电测工作长度WL:MB=ML=18mm,D=18.5mm。EDTA下,常规预备至35#,3%过氧化氢和生理盐水冲洗+超声荡洗根管交替进行。隔湿,干燥根管,封CP棉球, 氧化锌水门汀暂封。嘱勿用患牙咬物。 3.主诉:左下后牙上次治疗后无不适。 检查:37暂封物在,叩痛(—),牙体无松动,牙龈无明显红肿。 处置:37去除暂封物,取出棉球,生理盐水冲洗并干燥根管,复测工作长度同前:MB=ML=18mm,D=18.5mm。进口根充糊剂+牙胶尖冷侧压根管充填,氧化锌水门汀暂封,术后拍片示:37根充恰填。嘱勿用患牙咬物。 建议:37桩冠修复
下颌第三磨牙是临床中最常见的阻生牙,在萌出的时候由于受到软组织、邻牙、骨组织的影响而造成阻生。由于阻生的位置特殊,紧邻重要的解剖结构,可引起冠周炎、间隙感染、龋齿、牙髓炎等并发症,特别是有部分病例,就诊时第二磨牙的牙根吸收已经无法保留,从而影响口腔的正常功能。 在本病例中,左侧下颌第三磨牙发生近中阻生,抵住下颌第二磨牙的远中面生长,早期下颌第三磨牙阻生过程中的冠周炎症状不明显,而和第二磨牙之间经常会出现食物嵌塞。由于位置隐蔽不易清洁,使得下颌第二磨牙的远中龋坏形成,甚至发生部分牙齿吸收的现象,引起患者疼痛不适,此时就诊时第二磨牙已出现了牙髓的病变。如若未及时就诊处置,病变发展到晚期,常可导致邻近第二磨牙的牙根吸收,使其松动,造成第二磨牙无法保留。因此,是否应预防性拔除阻生下颌第三磨牙呢? 拔牙适应症指出:常发生冠周炎、引起邻牙牙根吸收或破坏时应拔除,不过目前对于什么样的阻生下颌第三磨牙需要预防性拔除仍存在争议。下颌第三磨牙错位萌出,牙冠与龈瓣之间可形成较深的盲袋,引起冠周炎的发生,严重时会发生邻近的组织间隙感染,甚至引起口底蜂窝织炎。此外,错位萌出可造成合创伤,冠边缘的粘膜发生溃疡、糜烂等,引起颞下颌关节紊乱疾病及粘膜的病理性损害等。但是,下颌阻生第三磨牙距离下颌神经管近,牙根可在下颌管的上方、侧方甚至直接接触,特别是低位和埋伏阻生的,进行阻生牙拔除的时候易损伤下牙槽神经。因此,临床上需要根据患者的实际情况综合考虑再决定拔除与否。


