下载或打开 医联APP 查看完整评论
立即下载
打开APP
1、患者中年男性,因“反复左侧腰痛2年,加重伴尿频2天”入院。患者2年来无明显原因出现反复左侧腰痛,无其他部位放射痛,无恶心呕吐,无畏寒发热,未予治疗,2天前活动后疼痛加重,持续性,伴有尿频,无尿急尿痛,予镇痛解痉抗炎治疗后症状缓解,今为求进一步治疗来我科住院。
2、查体:双肾区无红肿、隆起,左肾区叩击痛(+),余未见异常。辅助检查:我院门诊B超示左输尿管下段结石并左肾积液。





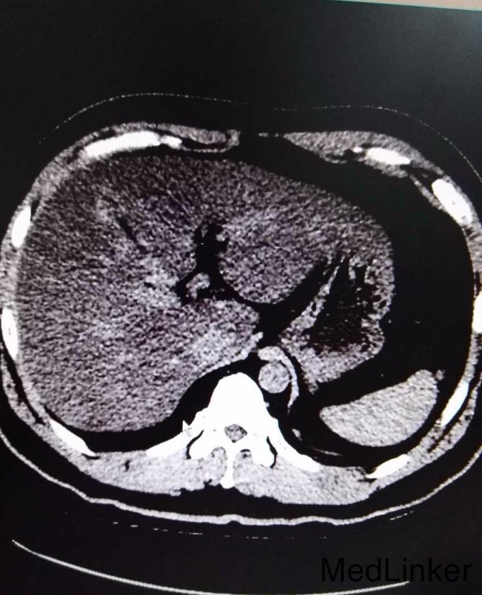
3、入院诊断:肾积水伴输尿管结石(左侧),治疗:入院后完善相关检查,尿常规GLU 2+,生化GLU 6.58,KUB考虑左侧输尿管下段结石可能,CT示左侧输尿管下段近膀胱入口处结石,重度弥漫性脂肪肝,其余检查无特殊,行左输尿管镜检+钬激光碎石术,术中放置DJ管,术后给予抗感染、对症支持治疗。术后患者恢复良好,复查KUB DJ管在位,未见异常。


4、嘱患者注意休息,多饮水,3月内返院拔除DJ管,定期复查。