下载或打开 医联APP 查看完整评论
立即下载
打开APP
打开应用
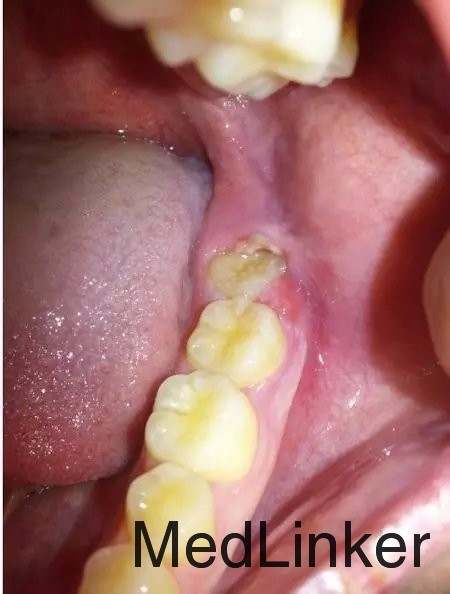
智齿冠周炎
吉林用户
吉林白山市宜宾口腔诊所
主诉 病史
王白宇 女 23 近一周左下后牙疼痛,伴低烧,张口受限,吞咽疼痛,伴颊侧肿痛,未作过治疗,前来就诊。
发布于 15-10-20 11:15
医联推荐你看
智齿冠周炎
智齿冠周炎
1106智齿冠周炎达2
共
0
个评论
暂无评论
发送
0