打开应用

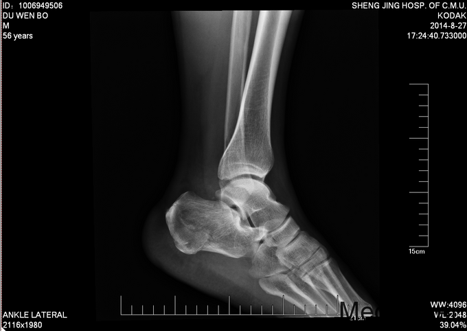
左跟骨骨折sanders2型

胡台用户   胡台新城医院

主诉 病史

患者及其家属自述于2015-10-17 13:30 因在自家干活时不慎从2米高梯子上摔下,当时患者意识清醒,无法站立,左踝部疼痛、肿胀、活动受限,以“左踝部骨折”为诊断收入我科;患者伤来无发热、无头晕、恶心呕吐,无呼吸困难,既往饮食睡眠可,大小便正常; 左踝部肿胀明显,压痛阳性,左踝部活动受限,可闻及骨擦音及骨擦感;患肢皮肤感觉较健侧无明显异常,足趾可活动,足背动脉可触及;

发布于 15-10-18 16:33

0 个评论

暂无评论
发送