下载或打开 医联APP 查看完整评论
立即下载
打开APP
主诉:腹痛、血便20小时 病史:63岁,男性,患者20小时前无明显诱因出现中腹部疼痛,为阵发性绞痛,无放射至其他部位,并排血便1次,为暗红色烂便,量约100mL,无发热,遂来我院急诊,查大便常规提示红细胞3-5/HP,血红蛋白、转铁蛋白阳性,血常规提示血红蛋白118g/L,予禁食,予抗感染、抑酸、止血等治疗,患者腹痛较前缓解,但仍有排烂便4次,每次量约30-50mL,性质同前,现为求进一步就诊急诊拟诊为"血便查因"收入我科。
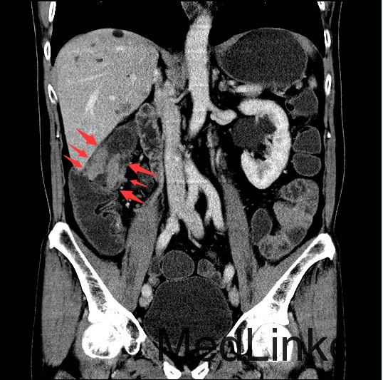
查体:腹平,腹软,肝区、双肾区无叩痛,腹部移动性浊音(-)。肠鸣音4次/分。双下肢无浮肿。 辅查:全腹螺旋CT平扫+增强:1、结肠肝区病变,考虑结肠癌,累及全层。2、直肠及乙状结肠病变,考虑炎症性病变。




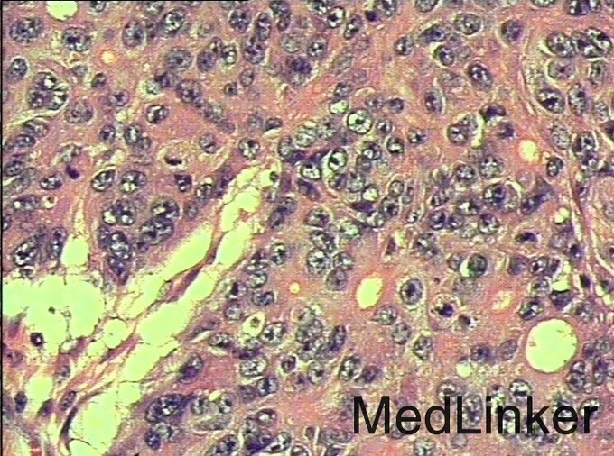
诊断:结肠癌 治疗:排除手术禁忌症后于全麻下行腹腔镜下结肠癌根治术。术程顺利,术后患者恢复好辅查血常规75g/L,腹腔引流管持续引流出血性液,考虑患者术后腹腔出血,予加用药物止血,及输血治疗。患者血色素会复制100g/L左右。现患者病情稳定,术后恢复好无述特殊不适。病理回报:(肝曲肿物)查见中分化腺癌。



讨论:本病例可以在CT冠状位看到结肠肝曲肠壁局限性增厚,属于浸润型结肠癌的表现,CT诊断结肠癌的时候,一般冠状位能够较好的显示结肠全貌,可以比较容易发现病灶,因此平常应先从冠状位发现胃肠道的病灶,再结合横断位诊断。作为影像医生除了报告癌肿,还需要注意一些临床关注的问题,比如癌肿与周围组织的关系,局部有无肿大淋巴结转移,其他脏器有无浸润或转移,在报告中提示这些情况,能够帮助临床选择合适的治疗方案。