患者女性,28岁,因“大便次数增多1年,出现粘液鲜血便1个月”入院 患者于1年半前分娩一女婴,母乳喂养。于1年前无明显诱因出现大便次数增加,由每天2~3次增加至每天3~4次,伴稀便,偶伴便鲜血。近1个月出现黏液血便,于1周前在当地医院行结肠镜检查示:距肛门5 cm直肠后壁不规则形肿物增生,病理活组织检查提示为直肠腺癌。为明确诊治收入我院外科,入院3周前停止哺乳。
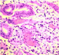
肛门指诊:肛门周围皮肤完整,无破溃、化脓、红肿等,齿状线上5 cm处于后壁触及菜花样肿物,肿物约占直肠管壁2/3周,质韧,表面不光滑,为菜花样,活动度差,无明显触痛,未能触及肿物上缘.退指套染血为暗红色。血清学检查:癌胚抗原(CEA)4.3 ng/ml(<5.0 ng/m1),糖抗原199(CAl99)99.1U/ml(<37.0 U/m1),CAl5310.7U/ml(<31.0U/m1)。磁共振成像(MRI):直肠癌、突破浆膜面,直肠窝及盆壁淋巴结转移。病理结果:(直肠)低分化黏液腺癌,部分细胞为印戒细胞(图1A)。

多学科会诊暂不行手术治疗,给予新辅助化疗,方案:奥沙利铂150 mg+卡培他滨1500 mg,2次/d,第1天至第14天,化疗1个疗程,行放疗25次,总剂量50 cy,放疗中期评估肿瘤未见明显缩小,排便困难加重。期间患者无意中发现左乳肿块,查体可触及左乳外下方有一约5 cm大小肿物,质硬,活动度差,无压痛,后行乳腺B型超声:左乳外下低回声性质待定,左乳内下实性结节,右乳乳晕区皮下实性结节。后行穿刺活组织检查,左乳结节穿刺病理坏死组织中可见少量印戒样细胞(图IB),考虑为黏液腺癌,结合临床考虑转移性直肠黏液腺癌可能。 MRI示:直肠窝及盆壁淋巴结转移较前略有增大,左侧腹股沟肿大淋巴结为新出现,右侧髂骨异常信号考虑为转移。PET.CT示全身多处转移。给予贝伐珠单抗400mg+奥沙利铂200mg+卡培他滨1500mg,2次/d,第1天至第14天,化疗1个疗程后出院。出院前查体,右乳腺可触及一肿物,大小约2 cm×2 cm,考虑为转移癌。1个月后因肠梗阻于当地医院行造瘘术,术后给予姑息治疗,术后4个月死亡,总生存期为9个月。

在我国,青年人大肠癌发病率近年呈上升趋势。大肠癌的发病部位、病理学类型、组织分化程度等特征与患者年龄密切相关。直肠癌转移主要通过局部浸润、淋巴系统和血液系统等。最常见的转移部位是肝,主要是循肠系膜下静脉回流至门静脉.血流主要流注左肝,因此直肠癌转移主要是左肝。其次是肺、骨和脑等。而直肠癌转移至乳腺是极其罕见的。 结合文献分析,本病临床诊断需详细询问病史,确诊需结合病理诊断,CK7及CK20的表达对诊断帮助很大,可避免不必要的治疗。 肿瘤研究与临床 2015-06-18