打开应用

气胸

申医师   中国人民解放军总医院第四医学中心
气胸 气胸

主诉 病史

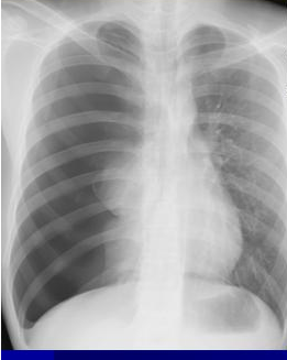
主诉:胸痛4小时。 现病史:患者4小时前晨起自觉右侧胸痛,针刺样,无放射,不伴喘憋、呼吸困难、发热、咳嗽、咳痰等,就诊我院门诊行胸片检查示右侧气胸,肺压缩约80%。遂为进一步诊治入院。

查体 辅查

听诊:左侧呼吸音清,右上肺呼吸音减低。

诊断 处理

自发性气胸 胸腔闭式引流

随访 讨论

气胸其实靠听诊是很容易判断的,但是现在的大夫似乎很不愿意查体,不管什么疾病离开辅助检查都没有办法下诊断。

发布于 15-10-17 21:11

1 个评论

发送