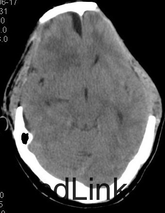
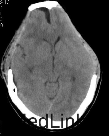
主诉:头部外伤7小时 病史:患者于7小时余前不慎从2米高处坠落,头部着地,并昏迷,左侧外耳道出血,无呕吐,无肢体抽搐,无明显头晕及头痛,无胸闷心悸,呼120入我院急诊诊治,行头颅CT提示有:头部螺旋CT平扫:1、蛛网膜下腔出血;大脑镰硬膜下出血;双侧额叶脑挫伤;脑肿胀。2、左侧枕骨骨折;左侧顶枕部头皮下血肿。3、双侧筛窦炎症。入急诊后患者神志转清,在急诊给予止血、脱水等治疗,4小时后复查头颅CT提示血肿增大及挫裂伤较前明显加重,为进一步治疗,收入我科。患者起病前,精神食欲可,二便可,体重无明显变化。
查体:神志昏睡,间断烦躁,刺激可睁眼,无对答,查体不合作,双侧瞳孔等大等圆,直径3mm,对光反应尚可,枕部可见隐约血肿,约1*1cm,左耳见血性液体流出。深浅感觉查体及腱反射查体不合作,双侧病理征未引出。格拉斯哥评分9分。 4:辅助检查:头部螺旋CT平扫(套:1、蛛网膜下腔出血;大脑镰硬膜下出血;双侧额叶脑挫伤;脑肿胀。2、左侧枕骨骨折;左侧顶枕部头皮下血肿。3、双侧筛窦炎症。颈椎螺旋CT平扫+三维:寰椎与枢椎齿状突之间高密度影,考虑撕脱骨折与钙化灶鉴别,建议复查或MRI进一步检查。




诊断:1、双侧额挫裂伤; 2、大脑镰、右侧额颞硬膜下出血;3、右额颞脑出血; 4、左枕骨骨折; 5、中枢神经系统感染 主要经过:入院后完善术前相关检查,行右侧额颞脑挫裂伤清除+去骨瓣减压+颅内压探头置入术;后行左侧额叶血肿清除+额颞顶去骨瓣减压术,术后予以抗感染、营养神经、改善循环、化痰、护胃、抗癫痫及营养支持治疗。 术后复查CT:双侧额颞顶骨局部缺如;左侧枕骨不连。 双侧额颞顶部皮下软组织稍肿胀。双侧额叶软化灶;右侧额颞部硬膜下及大脑纵裂池积液;右侧额颞部少量积气


随访+诊断:脑挫裂伤是指暴力作用于头部,造成脑组织的器质性损伤。包括挫伤和裂伤两种病理类型。它是颅脑损伤后在大体解剖和CT上最常见的一种损伤,通常为多发并伴有其他类型的颅脑损伤。脑挫裂伤可发生于受暴力直接作用的相应部位或附近,产生冲击伤,但是通常发生严重和常见的是脑挫裂伤出现在远离打击点的部位,暴力作用点的对应点,产生严重的对冲伤。由于颅骨骨折,开放性损伤容易发生颅内感染,应尽早手术治疗。