下载或打开 医联APP 查看完整评论
立即下载
打开APP
52岁女性,10余年前确诊鼻咽癌,并行放疗2次,5年前开始出现张口中度受限、言语轻度模糊不清、饮食饮水轻度呛咳。 主诉:反复咳嗽、咳痰15天。 现病史:15天前出现咳嗽咳痰,痰为白色稀水样,易咳出,外院查胸片示双肺感染,以右肺中叶明显,遂入院。
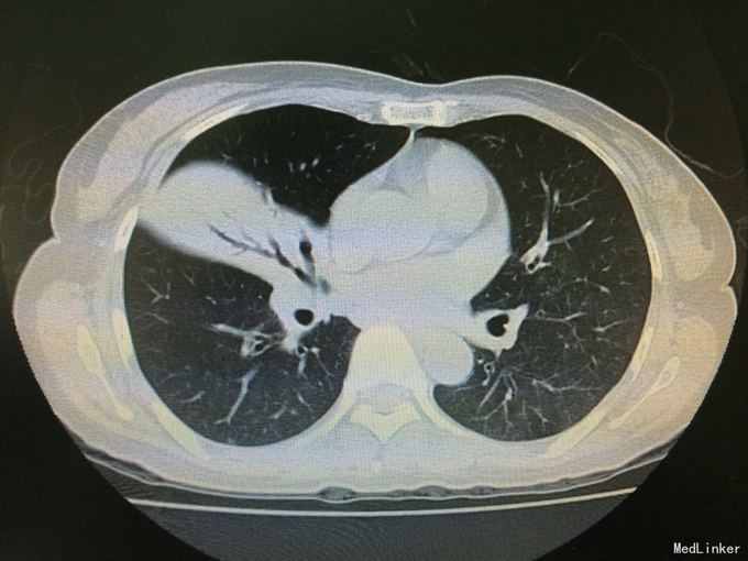
查体:双肺呼吸音粗,双肺底可闻及明显湿性啰音。 辅查:胸部CT示:双肺炎症。CRP66mg/l,ESR105mm/h,PCT0.074ng/ml。血常规、痰涂片及培养阴性。支气管镜示:左支气管见少量白色粘液状分泌物,右侧见中量白色脓性分泌物。支气管进管时患者无明显咽喉刺激反射。



诊断:肺部感染,鼻咽癌放疗后。 予莫西沙星抗感染治疗,后结合支气管镜检查结果考虑吸入性肺炎可能性大,遂改用美洛西林舒巴坦、阿米卡星抗感染治疗,辅以止咳、化痰、抗氧化治疗。
随访:患者咳嗽咳痰明显好转,要求出院,复查胸片示肺炎较前吸收,遂办理带药出院。嘱其1周后门诊复诊。 讨论:该病例属典型而较为简单的肺炎,结合实验室及影象结果可诊断。就该患者而言,有鼻咽癌放疗史,现有进食呛咳等后遗症,此次肺炎考虑其吸入性因素可能性大,且不排除以后反复并发吸入性肺炎可能。
