下载或打开 医联APP 查看完整评论
立即下载
打开APP
打开应用
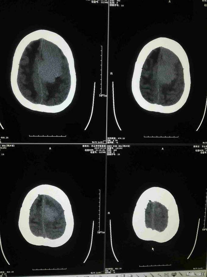
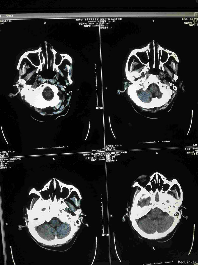
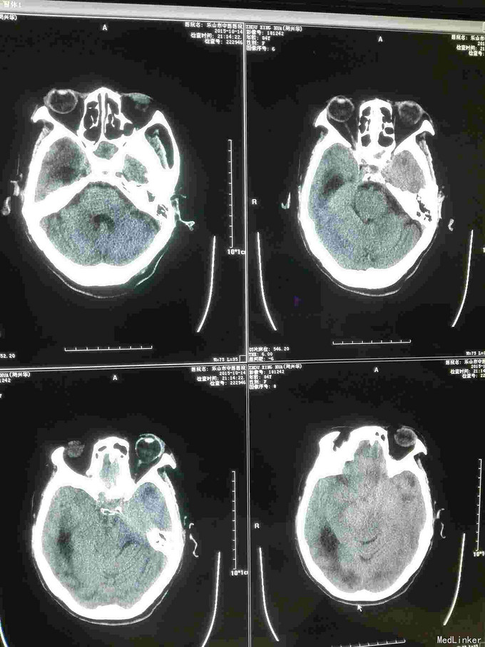
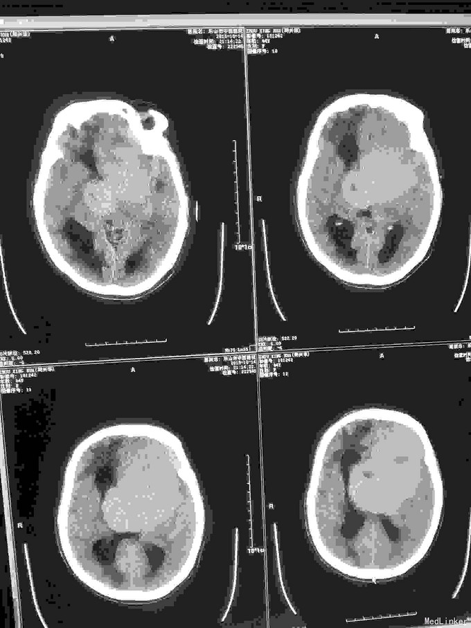
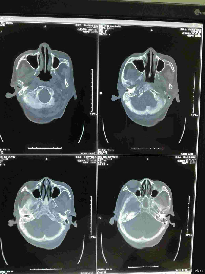
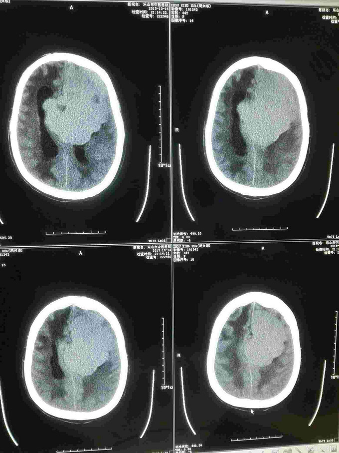
急诊CT病例
涂医师
乐山市中医医院
主诉 病史
昏迷不醒就诊
发布于 15-10-16 15:20
医联推荐你看
急诊PCI
急诊PCI
急诊内科急诊病例相关
共
0
个评论
暂无评论
发送
0