下载或打开 医联APP 查看完整评论
立即下载
打开APP
患儿女,5岁。因外阴皮疹5月入院。无痛痒等不适。
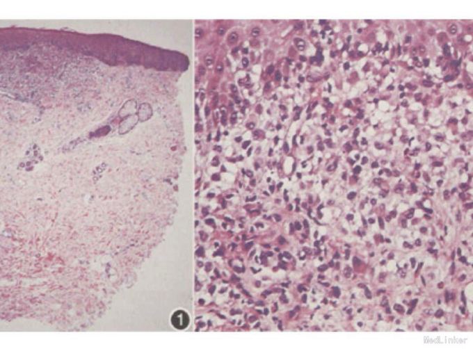
查体:外阴可见数个米粒大小红丘疹,无压痛。 辅查:病理组织示局部真皮浅层片状增生的组织细胞,并向上侵犯表皮。部分核呈肾形。免疫组化Cd 1a,CD68,S-100均阳性。全身Ct未见转移灶。


诊断:原发性外阴朗格汉斯细胞组织细胞增多症 处理:明确无其他器官累及,暂未行化疗,嘱其出院随访。
讨论:本病生殖系统受累少见,本例围未伴尿崩症等,考虑为单纯型。目前治疗尚不统一,该例患儿是否需予沙利度胺或手术切除等治疗还是暂予观察? Doi: 0.3760/cma.j.issn.0412-4030.2010.07.033