下载或打开 医联APP 查看完整评论
立即下载
打开APP
主诉:孕39周,全身瘙痒20天 现病史:患者平素月经规律,7/30,量中,无血块,偶有痛经,无进行性加重,孕期常规 建册,行产检10次,均未见明显异常,停经30天左右有口服“感冒药”(具体不详)史 ,近20天患者无明显诱因觉全身瘙痒,以四肢为主,夜晚为甚,双下肢可见散在抓痕,2 周前外院检测总胆汁酸25umol/L,未予特殊处理,一周前复查总胆汁酸60umol/L,今来 我院就诊,收入院。
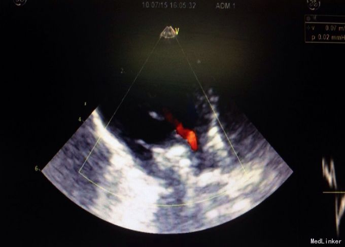
体检:生命体征正常,全身皮肤黏膜无黄染,腹隆,肝脾肋下未及,宫高29,腹围88, FHR148,头位,未触及宫缩,未行内诊,骨盆外测量22-26-18-8 辅助检查:2周前外院检测总胆汁酸25umol/L,一周前复查总胆汁酸60umol/L,今日外 院B超示晚孕,单活胎,头位,胎儿房间隔中部囊样无回声,考虑膨胀瘤可能,本院检查 结果如下图








入院诊断:孕39周待产,G2P1,ICP 诊疗经过:患者入院后给予护肝等对症支持治疗,顺娩1活女婴,分娩后子宫收缩好,新 生儿心脏彩超示动脉导管未闭,拟随访。
随访、讨论:妊娠期肝内胆汁淤积症是妊娠中晚期特发的妊娠合并症,以皮肤瘙痒,胆汁 酸及肝酶升高为特点,孕妇预后良好,但往往导致胎儿窘迫、早产、胎儿生长受限,甚至 突发死胎、死产等情况,而突发死胎是产科医生最头疼的问题,因此一旦发现患者有妊娠 期胆汁淤积症,应及时积极处理。