下载或打开 医联APP 查看完整评论
立即下载
打开APP
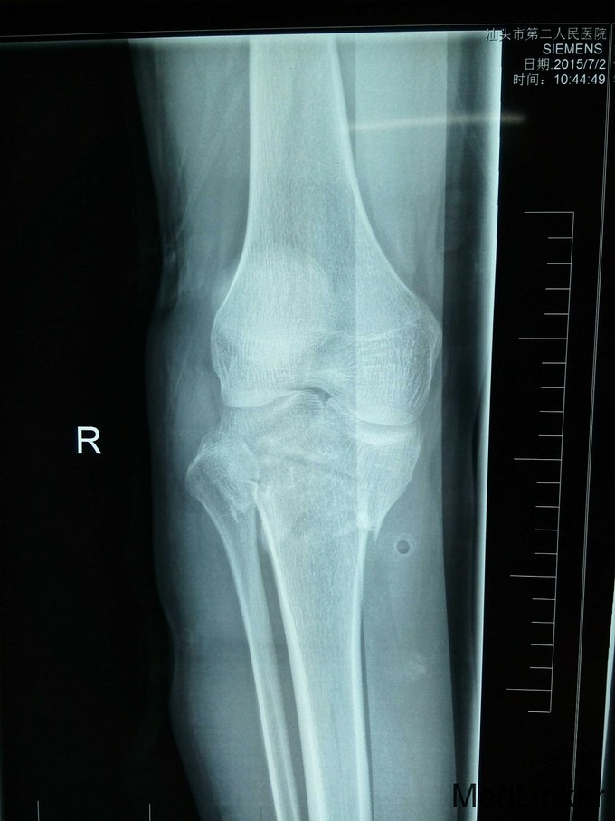
患者,男性,26岁,车祸伤2小时于2015-7-2入院。






右膝高度肿胀,压痛,胫骨结节外侧皮肤擦伤,胫骨外髁有骨檫感,关节活动功能障碍,右踇趾背伸功能减退,足趾感觉无障碍,足背动脉搏动稍弱,右下肢纵轴叩击痛(+)。右膝关节X线及CT检查示:右胫骨平台粉碎性骨折,内外髁骨折并累及关节面,右膝关节MRI检查示外侧半月板损伤,交叉韧带及内侧半月板无明显损伤。
右胫骨平台粉碎性骨折(内外髁骨折) 入院后予跟骨骨牵引,一周后硬外麻下行胫骨平台骨折切开复位内固定术,术后伤口拆线痊愈出院。
胫骨平台骨折分6型,患者内外髁骨折,属第6型,手术采用内外侧切口钢板固定植骨术,该患者胫骨结节撕脱性骨折,故术中加用两条克氏针(螺丝无把持力)。请各位前辈赐教。