下载或打开 医联APP 查看完整评论
立即下载
打开APP
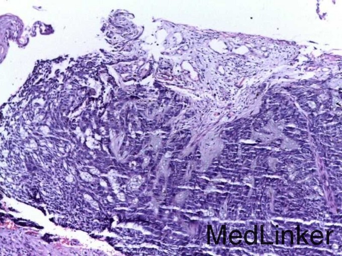
青壮年男性,腰背部皮肤肿物伴溃烂5年。无疼痛、瘙痒。
查体:腰背部中线上一孤立的黑褐色圆形皮肤肿物,表面溃烂,边缘清楚。 辅查:病理符合基底细胞癌病理改变




诊断:基底细胞癌。 处理:行肿物Mohs扩大切除术。术后随访。
讨论:基底细胞癌是皮肤科最常见的肿瘤之一,较常见于老年人颜面等曝光部位。此例患者为青壮年男性,病变部位位于后背,无自觉感受,实属少见,故容易漏诊、误诊,病变切除+病理活检是目前诊断此病的最佳手段。