打开应用

肾结石术后的悲剧。

蒋医师   中国医学科学院阜外医院
肺栓塞 肾结石

主诉 病史

主诉:女性,65岁,突发胸闷气促半小时 现病史:患者昨日在全麻下行PCNL,半小时前下列活动,无诱因出现胸闷气促、呼吸困难,不伴胸痛,肺部听诊可闻及哮鸣音,无咯血,无双下肢水肿,无大汗淋漓。立即嘱患者卧床休息,取半卧位、持续面罩高流量吸氧。 既往史、婚育史、个人史、家族史均无特殊。

查体 辅查

查体:双肺可闻及喘鸣音,改变体位后,喘鸣音消失;肺动脉瓣听诊区:P2>A2,心率 122次/min,血氧饱和度75%。 辅助检查:急查血糖无异常;血气分析提示Ⅰ型呼吸衰竭;ECG提示:S1Q3T3,无ST端抬高表现;心梗五项:D-dimer:13000μg/L;床旁超声心动图提示:右心稍大,三尖瓣轻度反流,肺动脉高压(轻度)。

诊断 处理

诊断:考虑肺栓塞可能性大 治疗:皮下注射低分子肝素+高流量面罩吸氧,患者病情稳定后转ICU继续治疗。

随访 讨论

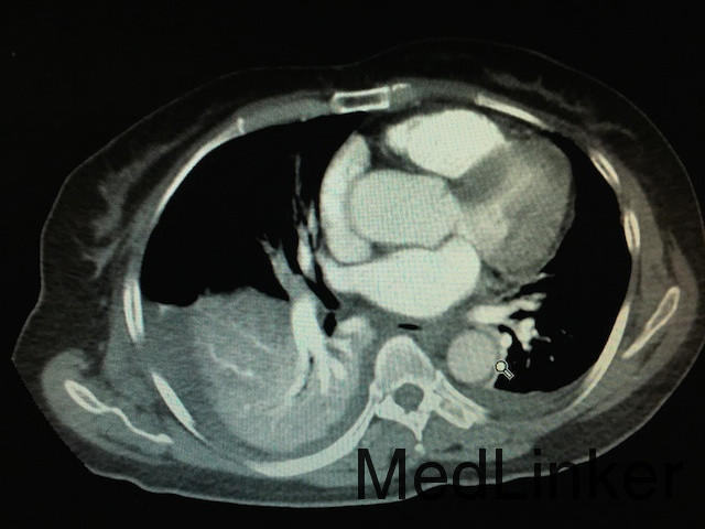
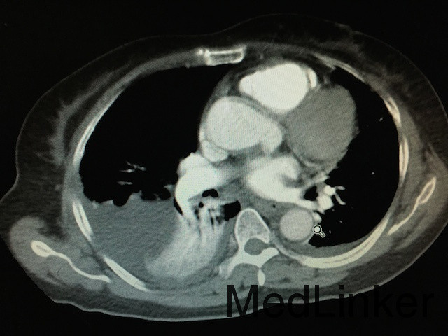
随访:患者病情稳定后行胸部CTA如下图:双肺动脉分支栓塞,双肺片状影,双肺下叶局部膨胀不全,双侧胸腔积液。转至ICU后,患者生命体征稳定,暂不考虑行溶栓治疗,予以低分子肝素继续抗凝治疗,复查ECG后示:Q波深度较浅减低,T波恢复正常,抗凝有效。 讨论:患者为PCNL术后,由于手术时间长,且术中由于行结石位,下肢长时间受压,加上患者年龄大,很容易形成深静脉血栓,患者下地导致血栓脱落,阻塞肺部血管,造成肺动脉栓塞。

发布于 15-10-15 00:01

14 个评论

发送