打开应用

输尿管上段结石、肾盂肾盏积水扩张致肾功能不全1例

张医师   中国医学科学院阜外医院

主诉 病史

主诉:男性,56岁,左肾区绞痛1天。 现病史:1天前,无诱因出现左侧肾区疼痛,发作时可以忍受,无放射痛,无尿频尿急尿痛,无血尿,无排尿困难;今日凌晨6时,疼痛逐渐加重,无撕裂感,不伴大汗淋漓,无心悸胸闷,无咯血。 既往史、个人史、婚育史均无明显异常。

查体 辅查

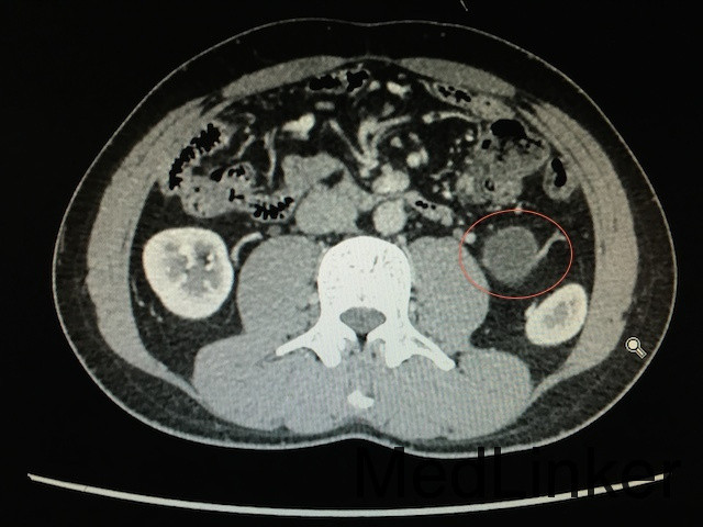
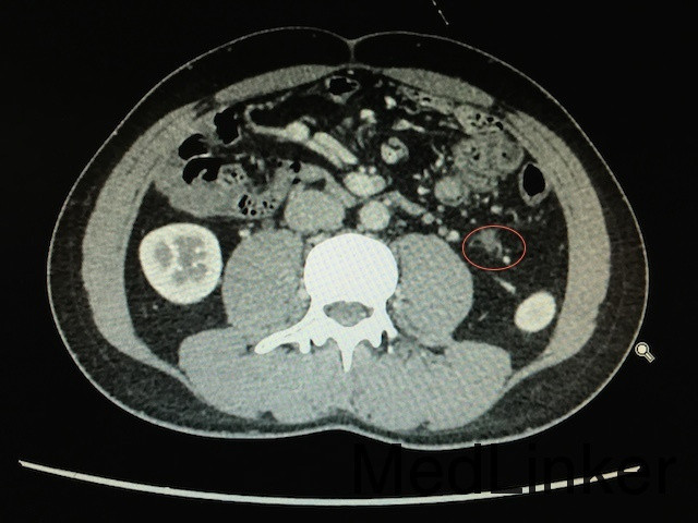
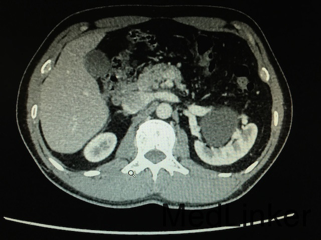
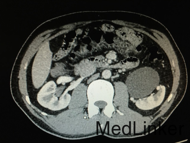
查体:无明显异常。 辅助检查:肾功能提示血肌酐371μmol/L,血象明显升高,尿常规白细胞升高。泌尿系CT:左侧输尿管上段结石,大小约为1.5cm,左侧肾盂肾盏积水扩张; IVP:左肾实质对比剂排泄缓慢,左侧肾盂和肾盏扩张积水。(如下图所示)

诊断 处理

诊断:左侧输尿管上段结石,肾积水,肾功能不全 治疗:行经皮左侧肾穿刺碎石取石术+左侧输尿管支架植入术

随访 讨论

随访:患者术后复查肾功能179.5μmol/L,较术前下降明显。 讨论:输尿管结石常常可以引起结石导致肾积水,长此以往,将影响肾功能,及时解除梗阻有利于肾功能的恢复。对于上段输尿管结石,若≥1.5cm,则具备PCNL指证。

发布于 15-10-14 23:34

4 个评论

发送