下载或打开 医联APP 查看完整评论
立即下载
打开APP
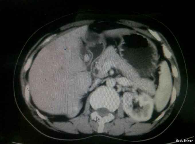
患者,女,43岁,左乳癌术后2年余,发现肝脏占位3天
查体:未及明显异常 辅助检查:腹部彩超发现肝脏多发占位,考虑转移,腹部增强CT:肝脏多发结节,考虑乳腺癌肝转移





诊断与治疗:乳腺癌术后伴肝转移,患者原病理为ER.PR阴性,Her-2高表达,术后行TE化疗、放疗以及靶向治疗,此次采取GX姑息性辅助化疗。
随访与讨论:患者入院时肝功能就偏高,也算是一个肝功能受损征相,而且彩超检查发现门静脉有癌栓形成,说明比较晚期,预后不良,所以采取姑息性辅助化疗,希望可以减轻患者病痛。当然同时也要排除其他地方转移,以采取相关治疗措施。