下载或打开 医联APP 查看完整评论
立即下载
打开APP
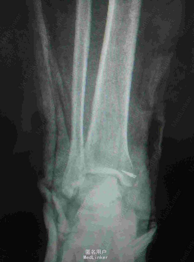
外伤致右踝关节疼痛肿胀,活动受限5小时 患者中年女性,因受外伤出现右踝关节疼痛、肿胀麻木,当即出现活动受限,急诊摄片提示内踝撕脱型骨折。
查体:右踝关节皮肤青紫,肿胀明显,内踝叩痛压痛明显,右足末梢感觉血运正常。 辅查:X线片提示右内踝撕脱性骨折。CT提示胫骨内踝骨折。


诊断:内踝骨折 治疗:右踝骨折切开复位内固定+三角韧带修复术


随访:患肢石膏外固定4周,后行无痛功能锻炼,定期复查。 讨论:无移位的内踝骨折一般可石膏固定,但如果出现移位还是建议手术。各位对踝关节骨折会常规做CT吗?