打开应用

颌下腺多行性腺瘤

张医师   上海交通大学医学院附属第九人民医院
多形性腺瘤 多形性腺瘤

主诉 病史

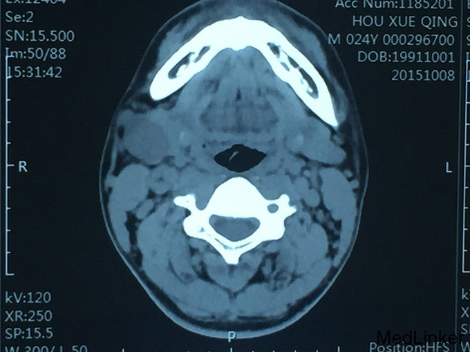
主诉:右颌下区肿物半年余。 病史:无明显诱因出现右颌下区肿物,无明显自觉症状,半年来逐渐增大要求手术治疗。

查体 辅查

查体:右颌下区可扪及肿物大小约4*3*3cm,质地中等,活动,轻度压痛,和颌下腺相连,颌下腺导管口无红肿,分泌畅。 复查:CT:颌下腺多行性腺瘤可能

诊断 处理

诊断:右颌下腺多形性腺瘤可能 治疗:全麻下右颌下腺及肿物切除,术中病理:右颌下腺多形性腺瘤

随访 讨论

随访:1年 3年随访未复发。 讨论:1,颌下区肿物诊断首先要确定和颌下腺是否有关系。2,手术治疗必须肿物及腺体一并切除。

发布于 15-10-13 21:43

6 个评论

发送