打开应用

胸椎压缩性骨折

陈医师   中国医学科学院北京协和医院
骨折

主诉 病史

患者于约4天前不慎摔伤,坐位触地,伤后即感腰背疼痛,不能坐起及站立行走,床上转身困难。

查体 辅查

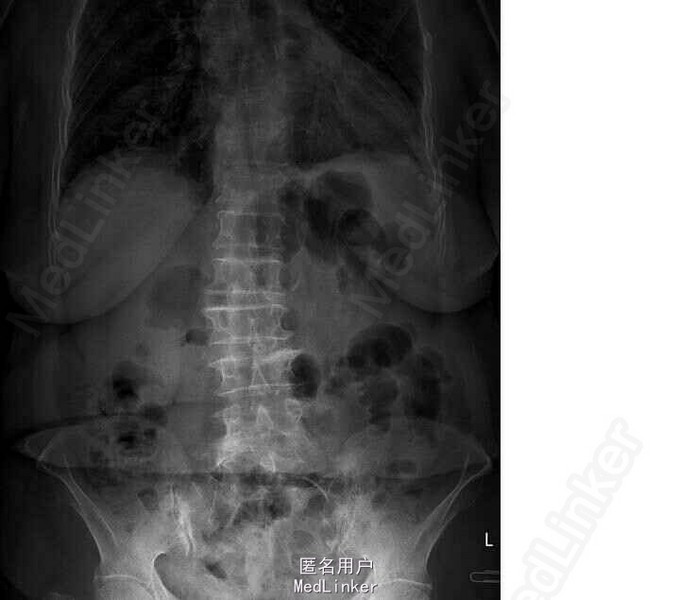
查体:胸腰段明显压痛及叩击痛。双髂嵴处压痛明显。 X线片示T11楔形变

诊断 处理

诊断:胸椎压缩骨折(T11) 局麻下行椎体成形+活检术

随访 讨论

术后恢复顺利,胸腰椎疼痛不适减轻,活动正常

发布于 15-10-12 23:39

0 个评论

暂无评论
发送