打开应用

基底动脉尖综合征

翟医师   中国医科大学附属盛京医院
基底动脉尖综合征

主诉 病史

患者55岁,女。 患者1月前无明显诱因出现左侧肢体活动受限,左下肢无法行走,左上肢麻木感,伴气短,心前区疼痛,无腹痛腹胀。就诊于当地医院,头CT提示"脑梗塞",静脉输液治疗(具体用药不详)。后症状未见明显好转。患者为求进一步诊治就诊于当地医院行心脏彩超检查提示:左房内肿物(考虑左房内黏液瘤可能大)。左室流入道梗阻。门诊以“左房黏液瘤”收入心脏外科住院。 住院期间患者突然出现头晕,伴恶心呕吐2次,为胃内容物。后出现意识不清,二便失禁,当时神经科查体:浅昏迷,双瞳孔等大D=2.5mm,光反射存在,眼位尚居中。疼痛刺激面肌及四肢可动,双巴氏征阴性。行头CT示:左基底节区及双侧顶枕叶、小脑半球多发新增梗塞可能性大。给予患者金纳多改善循环、必存清除自由基、拜阿司匹林抗血小板、立普妥降脂稳定斑块、泮托拉唑钠保护胃粘膜等对症支持治疗。患者症状略有好转。 转入神经内科继续治疗。 既往史:否认高血压、冠心病、糖尿病病史。否认手术外伤史;否认输血史,否认肝炎、结核等传染病史。 过敏史:否认药物及食物过敏史。 个人史:无吸烟酗酒史 家族史:否认家族性遗传病史。

查体 辅查

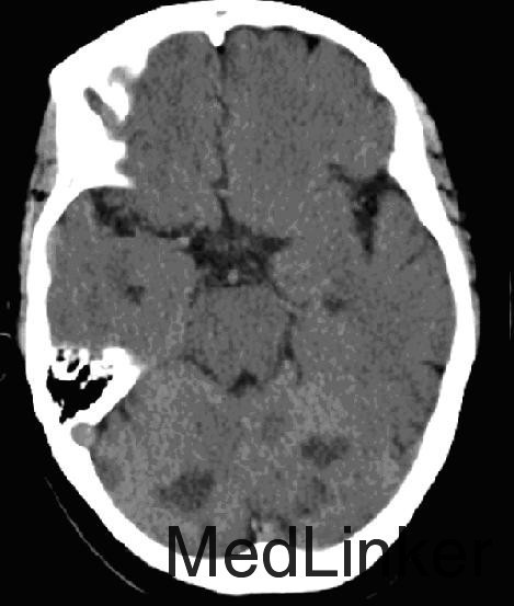
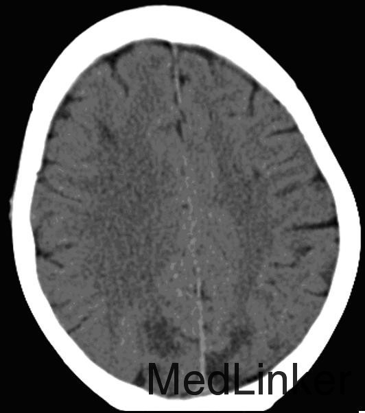
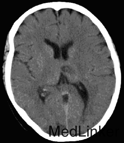
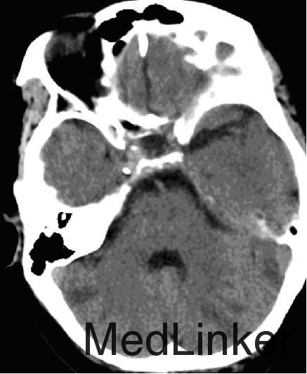
查体:T36.5℃,心率108次/分,BP128/91mmHg,神志清楚,问话可答,直径2.5mm,光反应存在,右上肢远端肌力IV级,左上肢远端肌力IV+级,双下肢可动。双侧Babinski阴性。 头CT:左基底节区及双侧顶枕叶、小脑半球多发新增梗塞可能性大。余颅内多发腔梗基本同前。 心彩超:左房粘液瘤,左室流入道梗阻,静息状态下左室整体收缩功能正常。 肺CT:未见明显异常。

诊断 处理

目前诊断 : 急性脑梗塞(基底动脉尖综合征可能性大);左房粘液瘤。

随访 讨论

左房粘液瘤在心脏粘液瘤中较为常见,女性好发,男女之比为1:3。是一种团块状或息肉样葡萄串状的半透明胶冻状物,质脆易碎,瘤蒂大小、长短不等,多数附着于卵圆窝附近。由于质脆易脱落而引起体、肺循环的栓塞,另外瘤块阻塞瓣口时可导致突然晕厥或猝死。 基底动脉尖端分出两对动脉,大脑后动脉和小脑上动脉,供血区域包括中脑、丘脑、小脑上部、颞叶内侧和枕叶。临表为眼球运动障碍,瞳孔异常,觉醒和行为障碍,伴有记忆力丧失,及对侧偏盲或皮质盲,少数患者出现大脑脚幻觉。 基底动脉尖综合征为脑栓塞, 栓子主要为心源性,其次可能为动脉粥样硬化斑块脱落所致。

发布于 15-10-11 10:25

8 个评论

发送