下载或打开 医联APP 查看完整评论
立即下载
打开APP
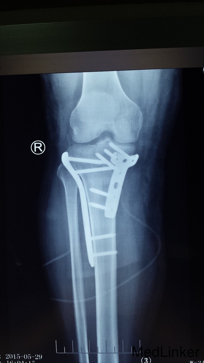
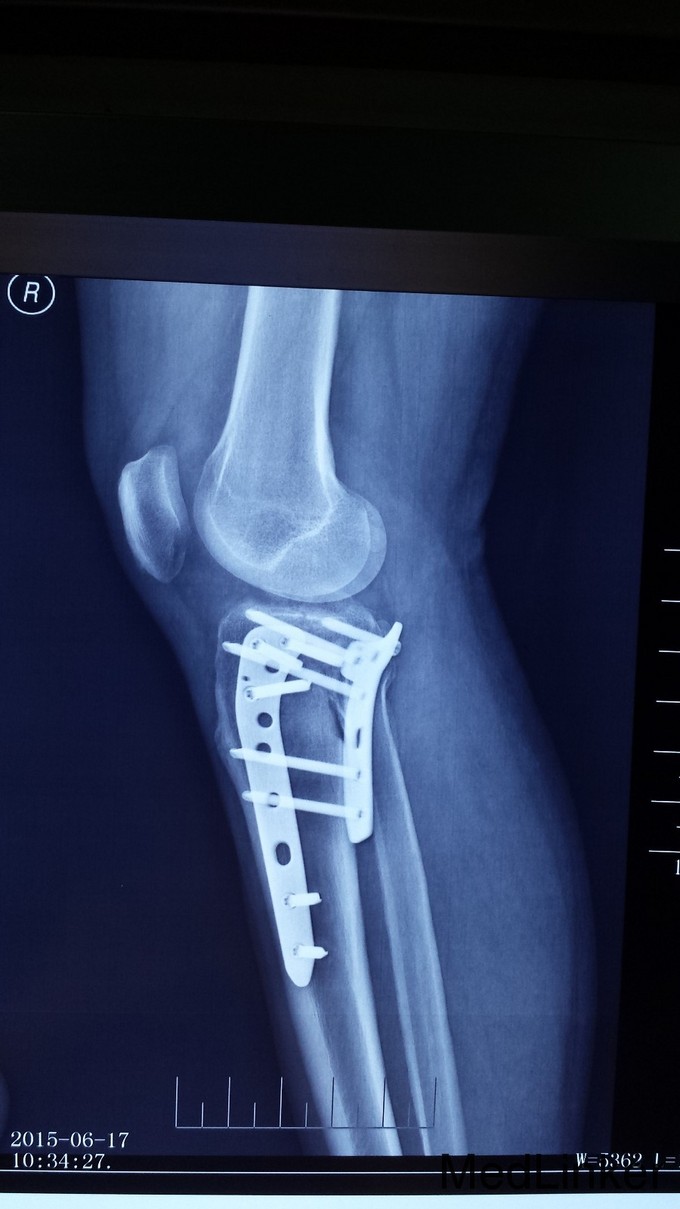
男,36岁,车祸,膝关节疼痛,腿部活动受限1小时入院。
CT三维重建、MRI:膝骨节内侧半月板、外侧半月板前角损伤,前交叉韧带损伤。

光片提示:患者发生累及后内踝的平台骨折。急诊:施行后内、前外侧联合入路手术治疗。先作后内侧入路复位后内髁骨折块及内髁骨折,再作前外侧联合入路复位外髁骨折,同时处理半月板及前、后交叉韧带损伤。


胫骨平台骨折是较为严重的骨折。如诊治不当,会导致股骨髁向后半脱位,造成膝关节不稳、疼痛、及退行性变,致膝关节功能障碍。因此治疗时要注意关节面解剖复位、坚强内固定及塌陷骨植复位。胫骨平台骨折完全恢复一般需六个月,因此进行功能锻炼要循序渐进。过早或过量运动容易造成平台塌陷。早期应增强无负重的肌肉锻炼,多做坐踢腿动作,促进关节血液循环,帮助恢复。