患者,男,50岁,因“反复发热10天,双下肢无力3天,意识不清1天”入院。10天前无明显诱因出现发热,体温最高38.8度,自服“感冒药”,症状未能改善,并出现寒战、头晕、头痛、恶心,伴呕吐胃内容物1次,非咖啡样、非喷射性。曾至当地医院就诊,给予头孢他啶抗感染、奥司他韦抗病毒、补液、维持水电解质平衡等治疗,症状未改善。后转当地第一市人民医院,颅脑CT未见明显异常,腰椎穿刺示压力大于330mmH20,蛋白1553mg/L,氯108.5mmol/L,白细胞计数154*10^6/L。给予抗感染、降颅压、营养神经、维持水电解质平衡等治疗,病情无好转,并出现烦躁不安,言语混乱,尿量减少。
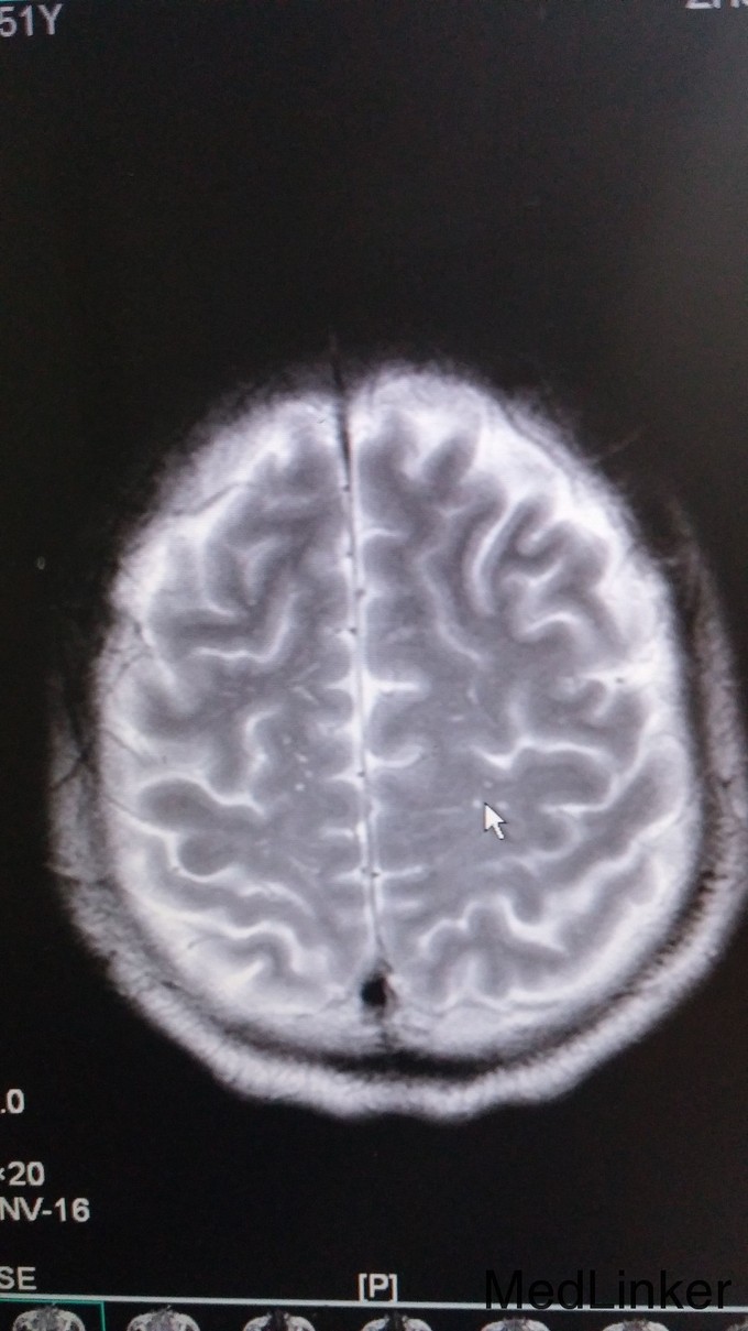
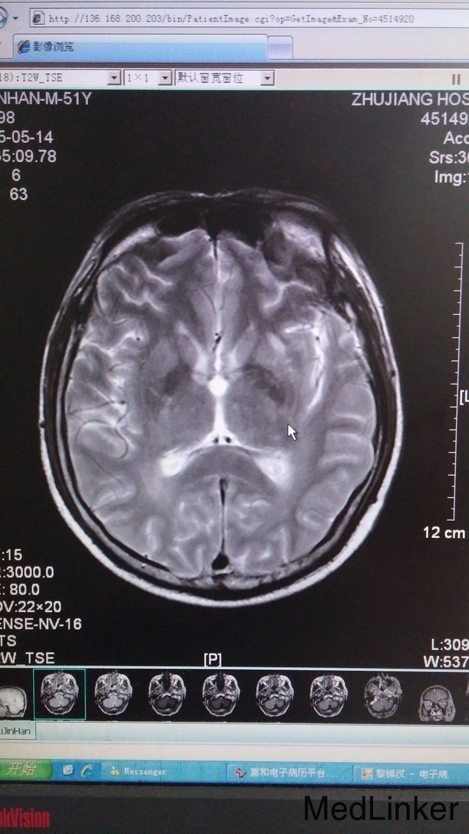
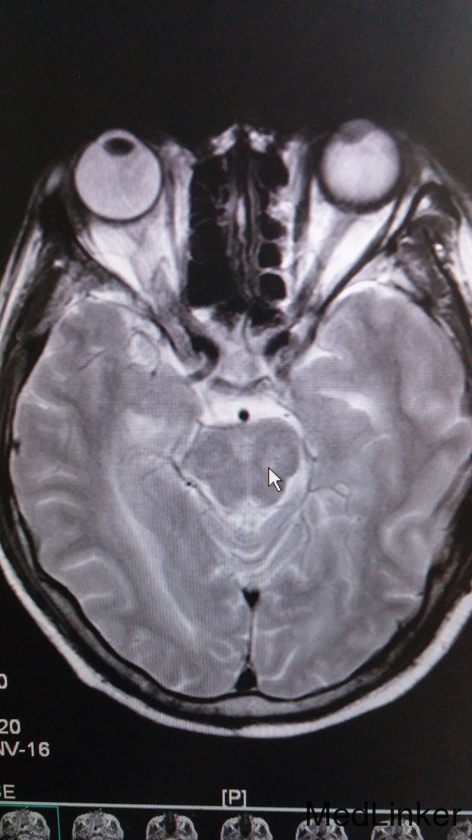
神志昏睡、语无伦次,定向力、判断力正常、计算力、记忆力无法检查。左侧肌张力增高。四肢肌力2级。指鼻、跟膝胫试验检查不配合。双侧腹壁反射存在。双侧肱二头肌、肱三头肌、膝腱、跟腱反射减弱。颈抵抗,颏胸距3横指,Kernig和Brudzinski征阴性。辅查: 1. 血常规:HSCR 3.24mg/L,白细胞计数9.1G/L,中性粒细胞计数8.32G/L,中性粒百分数91.4%;CK 504IU/L, CK-MB 27.9 IU/L, LDH 293 IU/L; 2. 腰穿:脑压225mmH20,氯119.9mmol/L,葡萄糖5.5mmol/L, 乳酸4.7 mmol/L, 蛋白1460 mg/L, 白细胞 60M/L 3. 颅脑MRI:双侧大脑半球(基底节区及放射冠区分布较多)、小脑、桥脑、中脑、延髓多发异常信号灶,增强扫描颅内血管明显增多、迂曲,脑膜增厚强化,可符合播散性脑脊髓炎改变,不排除其内白质疏松及腔隙性脑梗塞因素。肌电图:神经性受损(运动神经为主);脑电图:轻-中度异常脑电图;胸片示:下肺野纹理增粗、模糊,不排除炎症。




1.急性播散性脑脊髓炎 2.肺部感染。给予抗感染、降颅压、丙球和激素冲击治疗、呼吸机辅助呼吸、护脑、营养神经、补液、维持水电解质治疗。
患者目前病情尚平稳。讨论: 1. ADEM主要集中在儿童和青少年,常在感染或接种后1-4周发病,临床表现以运动障碍及意识障碍多见; 2. ADEM与MS同为中枢系统性脱髓鞘性疾病,具有很多相似性,鉴别比较困难,故首诊为ADEM的患者均应长期随访以观察是否复发及除外MS。