下载或打开 医联APP 查看完整评论
立即下载
打开APP
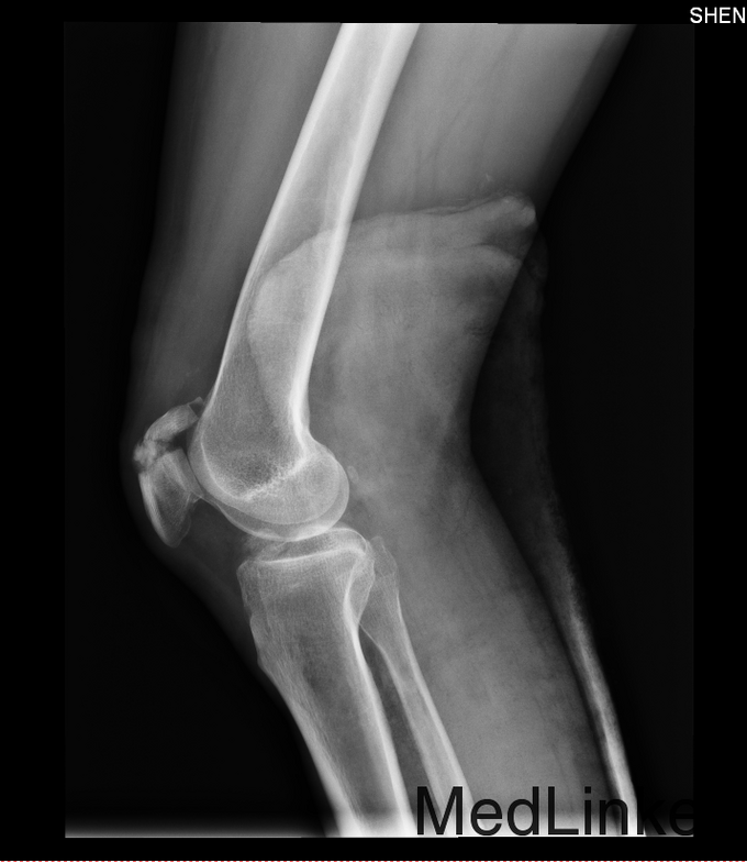
主诉:右侧膝关节疼痛活动受限4小时。现病史:4小时前骑摩托时发生车祸,患者当时头面部及右下肢受创,患者神志尚清楚,患者家属急送患者到当地县医院,行头部CT及右下肢DR检查,头部CT提示:右颞部硬膜下血肿可能性大,右下肢DR提示右侧髌骨粉碎性骨折,给予对症处理后患者症状未见好转.为求进一步治疗,患者家属急送患者到我院急诊,行头部CT检查提示右颞部硬膜下血肿可能性大.为进一步治疗,将患者转入我科.

专科查体:患者神志清楚,定位准确,额纹对称,闭目有力,双侧瞳孔等大正圆,D=3.5mm,对光反射灵敏,双侧眼球各方向运动充分,无复视及眼震。双侧鼻唇沟对称,示齿口角不偏,伸舌居中。右下肢髌骨骨折,左下肢肌力4级,肌张力正常,双上肢肢肌力5级,肌张力正常,深浅感觉粗查未见异常。右侧巴氏征未引,左侧巴氏征(-)。

诊断:右侧髌骨骨折,治疗:于麻醉下行髌骨骨折切开复位内固定术
术后给予患者抗炎之疼消肿等对症治疗,术后第二天给予患者患肢CPM功能锻炼