下载或打开 医联APP 查看完整评论
立即下载
打开APP
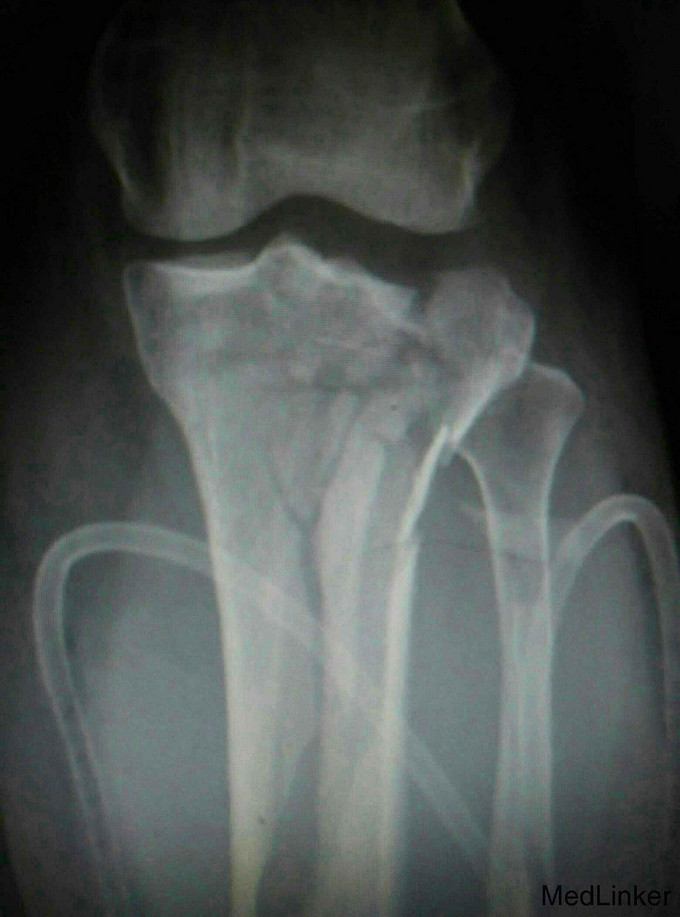
车祸伤致左膝部肿痛,活动受限4小时
入院查体局部肿胀明显,足背动脉搏动减弱,末梢血运及皮肤感觉减弱,触诊见局部肿胀明显,呈板状,无弹性。入院完善X线片及CT扫描等检查,同时做了下肢彩超提示无血管损伤及栓塞。


考虑为筋膜室综合征,予急诊行切开减压,考虑一期骨折复位内固定手术风险高,则行骨折端外固定架固定,同时VCD引流,待局部肿胀减轻,局部无明显张力,伤口无炎性反应后,二期行开放复位钢板固定术。






术后恢复良好,伤口正常愈合,功能佳。 讨论:小腿骨折常引起筋膜室综合征,应注意观察,特别是小腿上段骨折更容易引起筋膜室综合征,因为其血运好,出血多,如果发现筋膜室综合征或可疑筋膜室综合征,都要毫不犹豫的切开,不建议行一起的骨折端复位内固定,感染等风险较大,可暂时外固定架固定,同时VSD引流,可以减少换药及感染概率。术后7到10天局部肿胀减轻,无感染迹象后再行切开复位钢板固定术。
