下载或打开 医联APP 查看完整评论
立即下载
打开APP
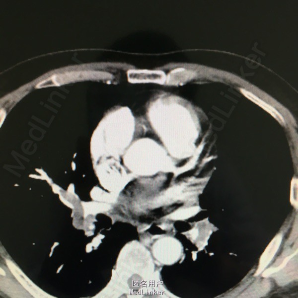
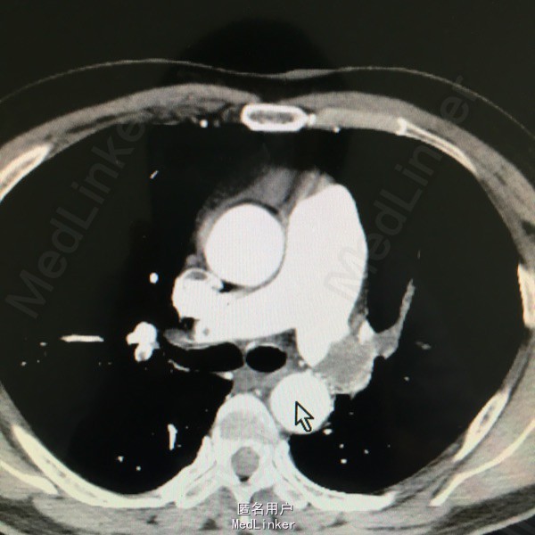
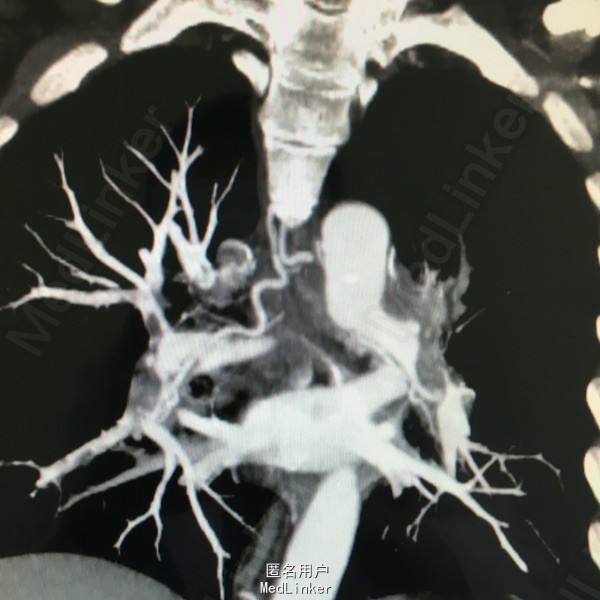
男性,61岁,因气紧3天入院。平时剧烈活动或活动量加大后感气紧。8年前有下肢深静脉血栓,后一直口服阿司匹林。
入院查体见呼吸较平稳,氧饱和度95%左右,嘴唇发紫;CT提示双肺大面积动脉栓塞,心脏彩超提示肺动脉高压,双下肢彩超未见静脉血栓。



慢性肺动脉栓塞,正规抗凝溶栓治疗
对于肺动脉栓塞来讲多数是由于下肢静脉血栓脱落所致,可予以置入腔静脉滤器同时介入下捣栓溶栓。但该患者下肢已无血栓,而且通过症状来看考虑慢性肺动脉栓塞,予以长期正规抗凝治疗十分重要。