下载或打开 医联APP 查看完整评论
立即下载
打开APP
主诉:前牙崩瓷 病史:患者十年前因前牙外伤行根管治疗+烤瓷牙修复,近日烤瓷牙崩瓷,影响美观
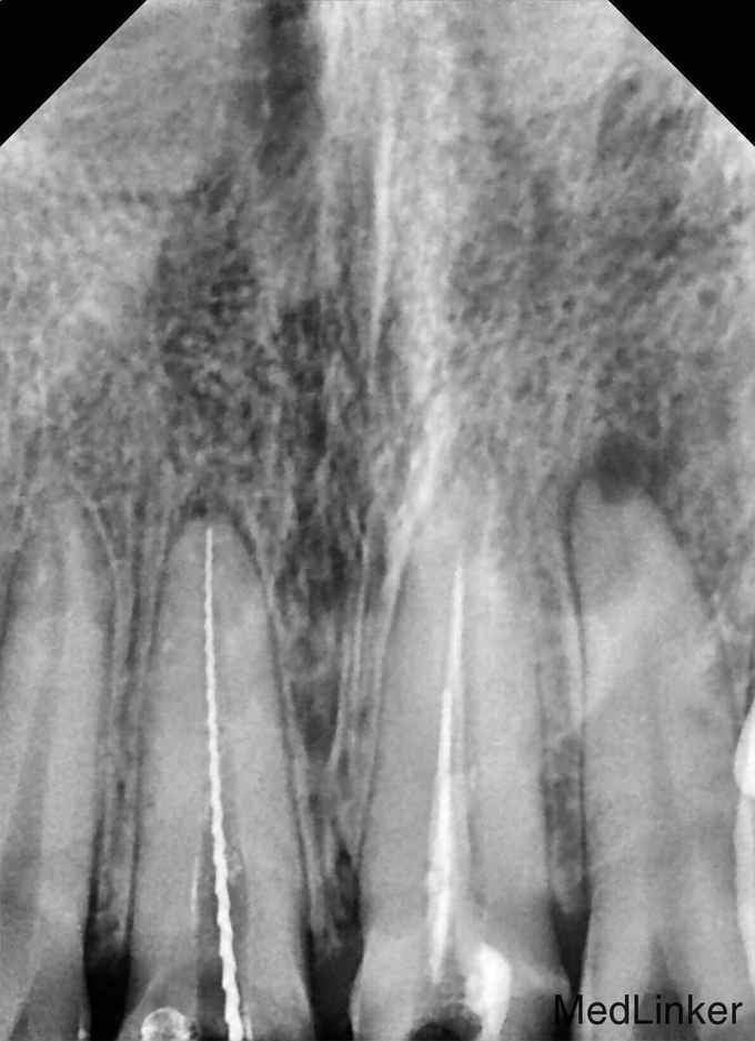
检查:11牙、21牙烤瓷联冠,大面积崩瓷,松(-),22牙体变色 X片示11牙、21牙根管欠填,根尖暗影,22牙根尖暗影

诊断:11牙、21牙欠填,慢性根尖周炎;22牙慢性根尖周炎 治疗:11牙、21牙拆冠,H锉配合超声去除牙胶尖,扩锉根管至70#,示踪,修尖,充填;22牙根管治疗;11-22牙分别行纤维桩+树脂核+全瓷冠修复



讨论:1,前牙根管治疗,中切牙根尖至少扩至35#以上,有的甚至要扩至70、80# 2,超声振荡有利于牙胶尖的快速、彻底的清除 3,前牙外伤后的患牙易导致牙髓慢性坏死,即使外伤后一个月检测牙髓活力正常者也要定期复查