打开应用

肩锁关节脱位

于医师   上海市同济医院
肩锁关节脱位

主诉 病史

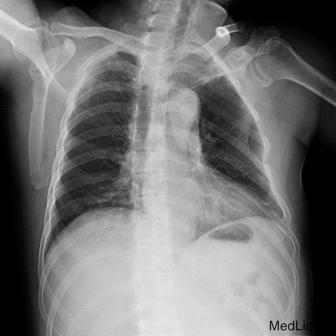
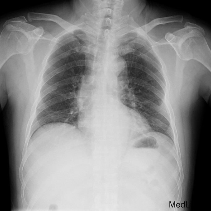
主诉:摔伤后左肩疼痛伴活动受限20天。 病史:患者入院前20天不慎摔伤,左肩不能活动,遂来我院急诊,摄片示左肩锁关节脱位,入院治疗。

查体 辅查

查体:左锁骨外端突出,未见明显淤血,局部压痛。

诊断 处理

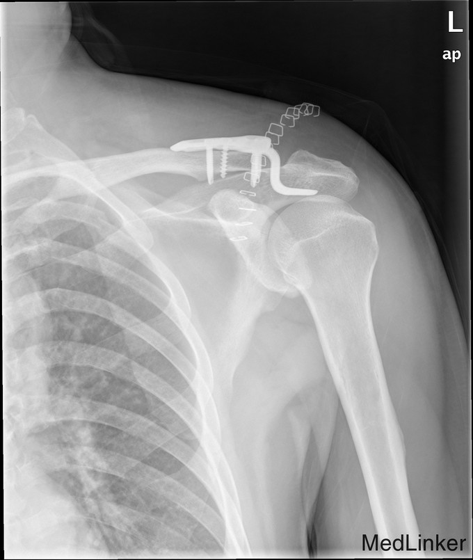
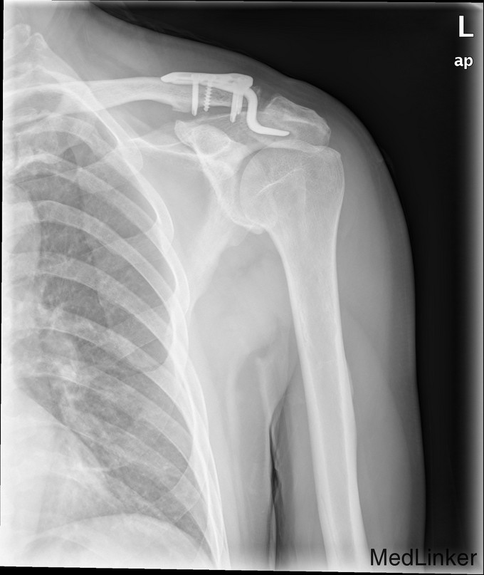
完善术前检查和准备后,行左肩锁关节脱位切开复位内固定术,术顺,术后安返病房,内固定使用锁骨钩。

随访 讨论

随访示内固定在位,复位位置可。

发布于 15-09-30 23:46

8 个评论

发送