下载或打开 医联APP 查看完整评论
立即下载
打开APP
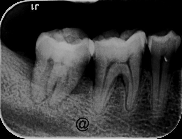
主诉:右下后牙咬合不适数天
检查:右下7牙冠完整,近龈缘可见一突起脓包,少量脓血分泌物溢出,PD=10mm,余位点PD=3mm左右,叩痛(+),松动I度,电活力测试较正常牙迟钝。X线示:右下7牙槽骨水平吸收至根中,根分歧下低密度影像,远中根管增宽,可以根折。复拍CT:右下7根分歧下低密度影像,未达根尖,两根在舌侧融合,唇侧分开,唇侧无根柱,未见根折。






诊断:右下7牙周牙髓联合病变 治疗计划:右下7RCT+牙周基础治疗
患者由于时间问题,不接受根管治疗,选择进行牙周治疗,局麻下行龈下刮治+根面平整术。 讨论:1、如何诊断牙周牙髓联合病变 2、右下7是否应该进行根管治疗