患者,女,63岁。因“体检发现双肾囊肿”入院。既往体健,未诉有特殊病史。
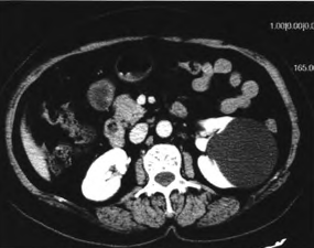
入院查体:生命体征平稳,心肺腹查未见明显异常。 双肾CT平扫+增强::双肾各见一枚囊状低密度灶,较大一枚位于左侧,大小为7.5cm×8.0cm,边界尚清,内见钙化灶,增强扫描未见强化双肾无水,未见阳性结石影。

诊断:双肾囊肿。 入院予完善相关术前检查,查无明显手术禁忌。全麻下行后腹腔镜左肾囊肿去顶术。术后第1天腹膜后引流管引流出淡红色液体约100m1,术后第2天减至20m1。术后第3天引流量明显增多,达600ml,且为淡黄色清亮液体,考虑囊壁漏尿所致,遂当日在尿道膀胱镜下于左输尿管内置入7号单J型输尿管支架管一根,上端放人肾盂,下端经尿道口引出体外并固定于尿管。观察左输尿管支架管、腹膜后引流管每日引流量变化,并嘱患者尽量采取左侧卧位。左腹膜后引流管引流量逐日减少,术后第11天,当引流量减至每日50~100 ml时便不再进一步下降。术后第16天,将腹膜后引流管外退2cm后,引流量 再次明显减少直至无液体流出,复查腹膜后彩超未见有肾周积液。拔除腹膜后引流管后伤口正常愈合,患者无腰痛、发热等症状,拔除尿管及输尿管支架管后患者康复出院。
一般直径4cm以上的单纯肾囊肿即可考虑手术治疗。集合系统损伤为肾囊肿去顶术后的并发症之一,常因术中过度电凝囊壁基底部或切除囊肿壁过多所致,致使尿液经破损的集合系统漏至肾周。本例术中我们没有电凝囊肿基底部,亦没有过度切除囊肿壁,考虑漏尿原因为碘酊涂抹囊肿壁所致。3%碘酊除了具有消毒杀菌作用外,还能凝固蛋白并破坏囊壁上皮细胞,使其失去分泌功能,因而能预防囊肿复发。本例患者肾囊肿直径较大,肾内囊壁压迫集合系统,使得二者之间间隔很薄。术后第3天才出现漏尿,我们分析可能是因为术中过多的碘酊持续作用导致囊肿基底部被过度灼伤并累及集合统,进而导致漏尿。通过分析本例,我们认为:碘酊虽有破坏囊壁上皮细胞预防囊肿复发的作用,但如果遇到囊肿过大,尤其是囊壁基底部与集合系统间隔很薄的情况下,为免伤及集合系统,使用碘酊需慎重。如集合系统损伤,则放置内外引流多能促其愈合,如腹膜后引流管放置过深,可能阻碍瘘口闭合,此时可外退部分引流管,瘘道多能自行闭合。