下载或打开 医联APP 查看完整评论
立即下载
打开APP
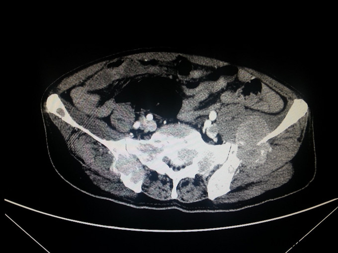
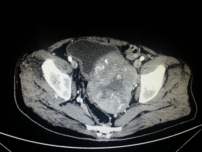
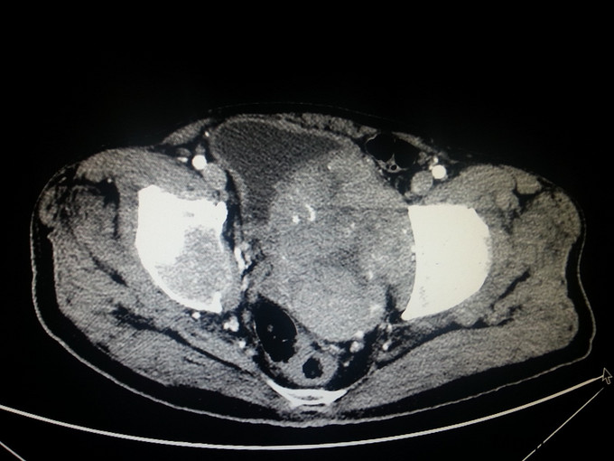
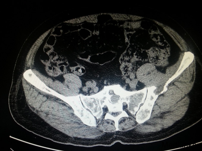
患者,男,68岁,因门诊CT检查发现前列腺肿瘤、骨转移入院






前列腺穿刺病理 :前列腺癌 Gleason4+4 PSA>100ng/ml fPSA>30ng/ml
患者入院后经会阴前列腺穿刺活检,病理诊断为前列腺癌 Gleason4+4 ;予以口服氟他胺以及静脉注射唑来膦酸、戈舍瑞林缓释剂皮下注射治疗; 治疗半年后复查 CT提示前列腺肿瘤缩小;PSA45ng/ml;患者一般情况明显好转
黄体生成素释放激素类似物(LHRH-a)是人工合成的黄体生成素释放激素,已上市的制品有:亮丙瑞林(Leuprorelin)、戈舍瑞林(goserelin)、曲普瑞林(Triptorelin)。在注射LHRH-a后,睾酮逐渐升高,在1周时达到最高点(睾酮一过性升高),然后逐渐下降,至3~4周时可达到去势水平,但有10%的患者睾酮不能达到去势水平。LHRH-a已成为雄激素去除的标准治疗方法之一。这些药物治疗晚期前列腺癌安全有效,可以替代睾丸切除术。