下载或打开 医联APP 查看完整评论
立即下载
打开APP
32岁男性,因“胸痛,气促2月”入院。伴轻度咳嗽咳痰。外院予肺炎对症治疗效果欠佳。
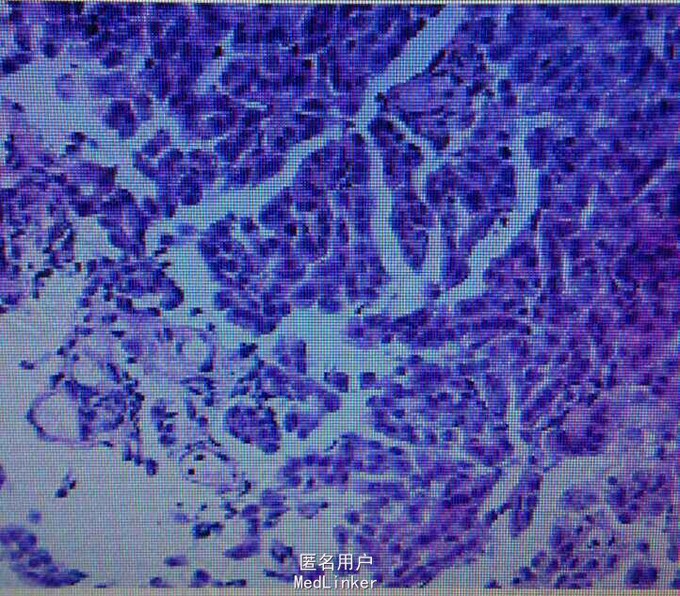
查体右下肺呼吸音减弱,无干湿罗音。心音正常。胸片示右胸膜增厚,少量积液。行胸膜活检示胸膜恶性间皮瘤。



诊断胸膜恶性间皮瘤。治疗力比泰+顺铂化疗,症状好转,胸水吸收。
患者治疗6周期后,因经济原因停止化疗。今年复查胸片示右肺大量实变,b超证实非胸水。考虑为肿瘤进展。胸膜间皮瘤往往以胸水为首发,易误诊漏诊,对反复胸水治疗效果欠佳者,应尽早应胸膜活检。胸膜间皮瘤最佳治疗方案是力比泰。
