下载或打开 医联APP 查看完整评论
立即下载
打开APP
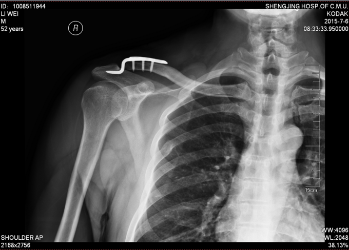
患者于2015年6月26日骑自行车摔伤时导致右肩部疼痛、活动障碍,意识状态可,被送至当地医院,行X线片检查示:右肩锁关节脱位,给予保守治疗。为求进一步治疗来我院,门诊行相关检查后,门诊以“右肩锁关节脱位”为诊断收住入院。




右肩外侧局部肿胀, 可见5x10cm不规整瘀斑,脱位锁骨远端端隆起于皮下,压痛不明显,未触及骨擦音及骨擦感,按压时有兵乓球感,右肩关节外展受限,手指活动灵活,锁骨下区及三角肌区皮肤痛觉无减退,桡动脉搏动有力,末梢血运良
诊断:右肩锁关节脱位 入院后完善检查,完善心电图,生化检查后。局部消肿后,查无手术禁忌症后行右肩关节脱位锁骨钩钢板内固定术
