下载或打开 医联APP 查看完整评论
立即下载
打开APP
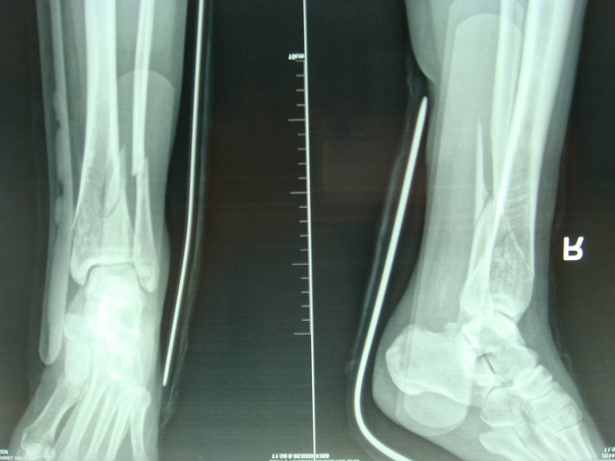
主诉:右小腿外伤后6天 现病史:患者2014-10-19日晚9时左右下楼时不慎摔倒,后于骨科医院就诊,行右下肢DR检查,提示右胫腓骨远端粉碎性骨折,后患者于骨科医院行夹板固定,并与当地祝家镇诊所输液治疗,具体治疗方案不详。后患者为求进一步诊治逐来我院。并以右胫腓骨远端粉碎性骨折收入院。患者病来一般状态可,二便正常,饮食睡眠可。




右踝关节肿胀明显,皮下瘀斑。右踝关节局部压痛明显。右足趾屈背伸因为疼痛活动较弱。右足背动脉搏动良好,末梢血运良好。


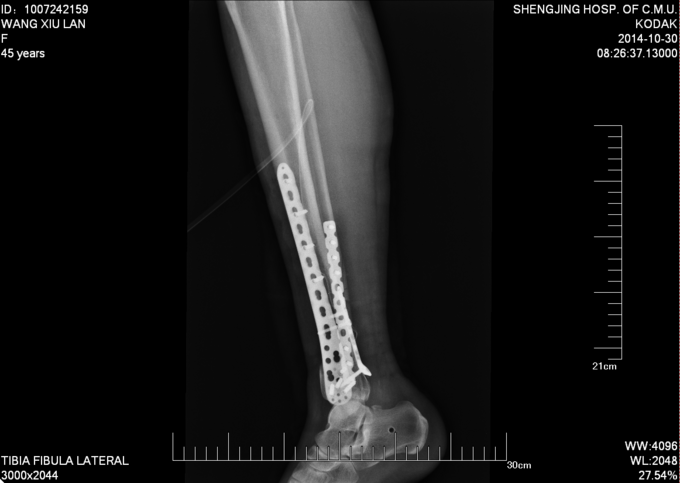
诊断:右胫腓骨远端粉碎性骨折 患者为右plion骨折,入院后局部肿胀明显,给予患肢抬高,冷敷,消肿等对症治疗,密切观察患肢皮肤情况,带皮肤条件良好的情况下,约2周后行右三踝骨折切开复位钢板内固定术。

