打开应用

正畸(只做第一次,不需要长期跟)

北京用户   北京宾适口腔门诊部

主诉 病史

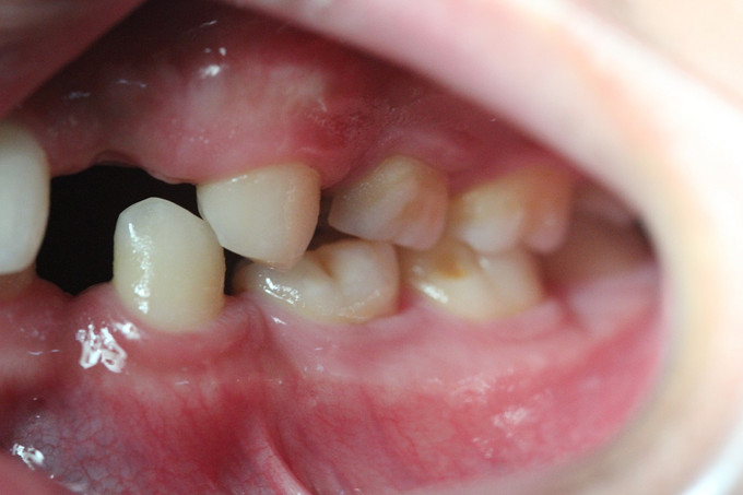
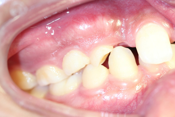
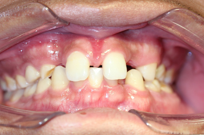
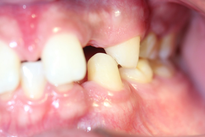
男 年龄16岁 右上恒牙2、3、4、5缺失,乳牙2、3、4、5滞留。 右下恒牙5缺失,乳牙5滞留。 左上恒牙2、3、4、5缺失,乳牙2、3、5滞留。 左下恒牙2、4、5缺失,乳牙2、5滞留。 诊断:恒牙先天缺失 治疗计划:a.乳牙治疗 b.唇系带手术 c.正畸治疗 d.种植体修复 现已经a、b两项治疗完成;因正畸难度较大,需要专家会诊共同完成!正畸治疗后再行种植修复。

发布于 15-09-30 20:04

0 个评论

暂无评论
发送