中年女性,35岁,以“自觉下腹包块3年”为主诉入院。 3年前无意间于下腹壁触及一小结节,无压痛,未予在意,包块逐渐增大,现出现月经期疼痛。查体:下腹耻上可见一长约10cm横形切口,切口偏右可及一椭圆形质硬包快,大小约2*2cm,形态规整,与周围边界清,活动度可,明显触痛,无反跳痛。
妇科检查:外阴发育正常,阴道畅,粘膜无充血,分泌物量中,色白,无明显异味。宫颈常大,光滑,子宫前位,常大,形态规整,活动度可,无压痛,附件区未及明显异常。 辅助检查:腹壁超声腹壁剖宫产切口右侧皮下脂肪层可见2.3*1.8*1.0cm包块,边界模糊,形态欠规整,内呈低回声,提示腹壁包块,建议进一步除外子宫内膜异位症
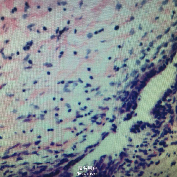
诊断 : 腹壁子宫内膜异位症 手术方式 : 腹壁子宫内膜异位病灶切除术 以腹壁肿物为中心取下腹原有横切口右侧切口,长约3cm,剔除原有手术瘢痕,可触及脂肪层质硬肿物,约2*2厘米大小,沿其边缘外5mm切除该肿物,完整核除病灶,至边界为正常脂肪组织,病灶累及部分筋膜层,仔细探查未及其他异常结节,可吸收线逐层关腹。
腹壁子宫内膜异位症是指任何发生于腹膜表面的异位内膜病灶,包括以前有无手术史的病例,多数继发于剖宫产术后2 ~ 5 年。近年来,随着剖宫产率的逐渐增多,其发生率呈明显上升趋势。诊断腹壁切口子宫内膜异位症,应根据剖宫产手术史,并且手术后的一定时间内腹壁切口可出现与月经周期呈相关性的胀痛、并伴有可逐渐增大的包块和触痛结节,月经期疼痛加重、同时肿块增大,行经后疼痛缓解、肿块缩小。B 超检查可明确病灶部位,囊、实性,有助于术前诊断,临床上应注意其与腹壁内炎性包块、腹壁切口疝和腹壁肿瘤等相鉴别。在诊断困难时,行腹壁肿块穿刺细胞学检查,有利于确诊并排除恶性病变及其他疾病。但其可能造成腹壁切口子宫内膜异位症的复发率升高。腹壁切口内异症恶变仅见个案报道。诊断子宫内膜异位癌变的标准如下: ①癌和良性的内膜组织同时存在; ②肿瘤的组织学类型是属于已知子宫内膜起源的肿瘤类型; ③在邻近恶性肿瘤的子宫内膜异位症的的上皮细胞,发现从良性到恶性变化的移行过程,更有助诊断。子宫内膜异位症是一种进展性疾病,虽然为良性,但有扩散种植的行为,血清中CA125 表达水平与病灶活性有关,其意义还有待进一步研究。
