主诉:因月经量增多、经期延长半年,发现腹部包块5月。 病史:患者,女,半年以来月经量明显增多,经期延长,5月前发现腹部包块,为求进一步诊治来我院就诊。患者平时体健,月经史:初湖18岁,4~5 d/28~30 d,经量中等,无痛经。末次月经2015年6月8日。发病后无体重下降,大小便正常。既往体健,23岁结婚,孕10次,产7次,流产3次,现存子女4人。有高血压病史。
查体:腹部触及一巨大实性包块,下至盆底,上达剑突下,叩诊实音,移动性浊音阴性。 妇科检查:外阴、阴道正常,宫颈光滑,宫体大小触不清,盆腹腔内被一巨大包块占据,实性,凹凸不平,不活动,无触痛 B超:肝实质回声稍密集,腹盆腔内巨大混合回声团(卵巢肿瘤?)。 cT提示:子宫明显增大,子宫右侧可见一软组织实质块影,其内可见低密度影,与子宫密不可分,子宫前上方可见一巨大低密度影,约24.3cm×19.2 cm×20 cm大小,其内可见低密度脂肪影,未见钙化。 肿瘤标记物CA125:149.20 U/ml
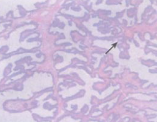
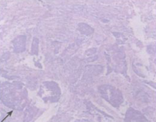
诊断:卵巢肿瘤?子宫肿物? 治疗:行行剖腹探查术。术中发现腹腔内淡黄色腹水约250ml,子宫增大如孕80余天,右侧宫角处明显突出,质地硬,左侧卵巢表面长出一菜花状结节12cm×10cm×10cm,无包膜,粘连于子宫后方,左侧盆腹膜后有一巨大包块向腹腔及右侧延伸,肝、胃、肠、大网膜无异常,盆腔淋巴结肿大,阑尾与肠系膜粘连。行腹膜后肿瘤切除及全子宫、双附件切除术,高位结扎双侧卵巢动静脉,俞腔淋巴结取样,切除大网膜及阑尾。手术困难,术后身体恢复良好。 术后肿物病理诊断提示:(1)(腹膜后肿物)脂肪瘤样脂肪肉瘤。(2)(左侧卵巢)浆液性乳头状腺癌。(3)(子宫肿瘤):子宫低分化腺癌,伴鳞状上皮分化,宫颈及部分卵巢未见肿瘤。



随访:手术困难,术后身体恢复良好。一月后复查全腹B超未发现异常,行rIP方案化疗一疗程后改行放疗。现在正在治疗中。 讨论:该患者在腹膜后、子宫、左侧卵巢三个不同部位、不同器官发牛3种原发恶性肿瘤,为多原发癌,确属少见。