下载或打开 医联APP 查看完整评论
立即下载
打开APP
主诉:左下后牙咬物不适半年余 现病史:患者自诉半年年前左下后牙开始出现咬物不适,无自发痛、夜间痛,无放射到颌面部,今至我科就诊要求治疗
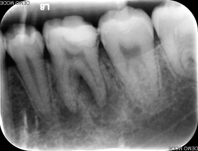
检查:#36 he 面见白色充填物,叩(+),松(-),咬合痛,冷热测无反应,电测无活力,牙龈稍红肿。余牙未见明显异常 X线示:#36根尖周有阴影

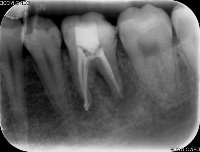
诊断:#36慢性根尖周炎 治疗:#36开髓、揭顶,拔髓,冲洗,测量WL,根管预备,封Ca(OH)2两周,ZOE暂封。两周后复诊去暂封,冲洗根管,测WL,试尖,根充。

慢性根尖周炎常常能见到有瘘道,临床上要注意检查