下载或打开 医联APP 查看完整评论
立即下载
打开APP
打开应用
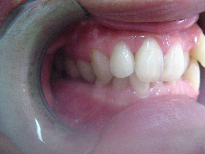
深覆合,牙齿排列不齐
振兴用户
振兴口腔
主诉 病史
患者:女,25岁,主诉:牙齿不齐,要求排齐牙列 检查:牙齿排列不齐,深覆合,先天缺失15,下颌前磨牙及磨牙舌倾
发布于 15-09-30 13:17
医联推荐你看
牙齿不齐
牙齿不齐,兜齿
牙齿排列不齐:
共
0
个评论
暂无评论
发送
0