下载或打开 医联APP 查看完整评论
立即下载
打开APP
打开应用
尖牙错位,2过小牙
振兴用户
振兴口腔
主诉 病史
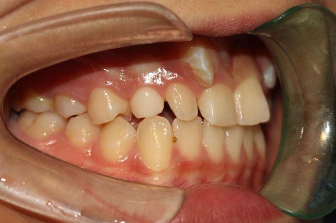
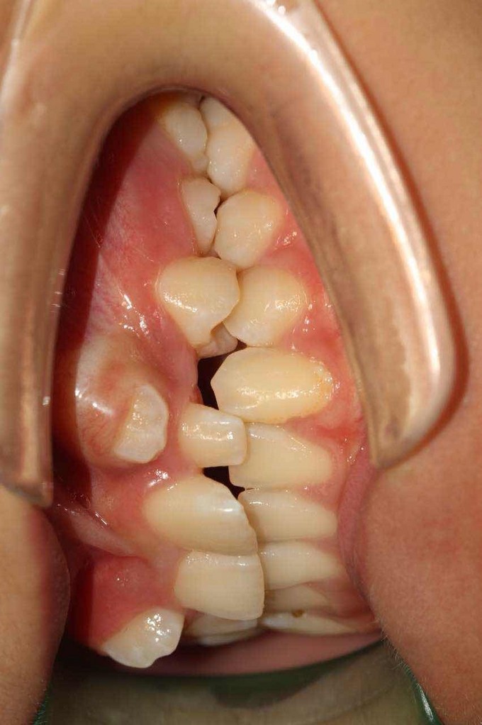
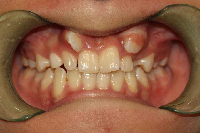
患者:女,19岁,主诉牙齿不齐,希望矫治。 检查:13根在11和12之间,23根在22唇侧,12和22为过小牙
发布于 15-09-30 12:58
医联推荐你看
尖牙阻生
左上乳尖牙种植
尖牙错位
共
0
个评论
暂无评论
发送
0