下载或打开 医联APP 查看完整评论
立即下载
打开APP
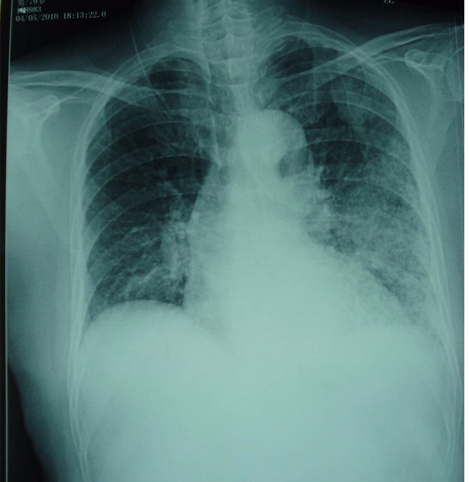
男,79岁,反复咳嗽50余年,喘气3年余,发热一天入院。 近50余年反复咳嗽咳痰,冬春季易发,抗感染治疗可好转,近3年出现喘气。一天前外出扫墓受凉,感全身乏力,精神差,发热,T39.1℃, 伴咳嗽、心慌、胸闷,喘气加重。无咽痛、鼻塞、流涕。 有肺结核病史,血压偏低史,吸烟史50余年,10-20支/日,余下无特殊。
体格检查:T39℃, R 24 bpm,P 88 bpm,BP 150/64 mmHg。唇微绀,急性热病容,双肺可闻及湿罗音,左侧为甚。血常规:WBC6.6×109/L,N78.8%, L18%. HB102g/L , PLT133×109/L ; pH7.5, PCO2:29mmHg,PO2:64mmHg AST59u/L, GGT57u/L, 白蛋白34.9g/L, 球蛋白44.6g/L, A/G0.79, Tbil 34.4umol/L, BUN9.33mmol/L,Cr146.5umol/L Glu7.93mmol/L 痰涂片:G+球菌,G-杆菌 尿常规:蛋白++


诊断:肺炎链球菌肺炎 治疗:卧床休息,青霉素G静注,补充足够蛋白质、热量及维生素。密切监测病情变化,注意防止休克
肺炎链球菌肺炎是由肺炎链球菌所引起的肺实质性炎症。通常起病急骤,以高热,寒战,咳嗽,血痰及胸痛为特征。在X片胸片中呈肺段或肺叶急性炎性实变。一经诊断即应给予抗菌药物治疗,不必等待细菌培养结果。首选青霉素G,用药途径及剂量视病情轻重及有无并发症而定。