打开应用

硬膜下血肿

陈医师   中国医学科学院整形外科医院
硬膜下血肿 慢性硬膜下血肿

主诉 病史

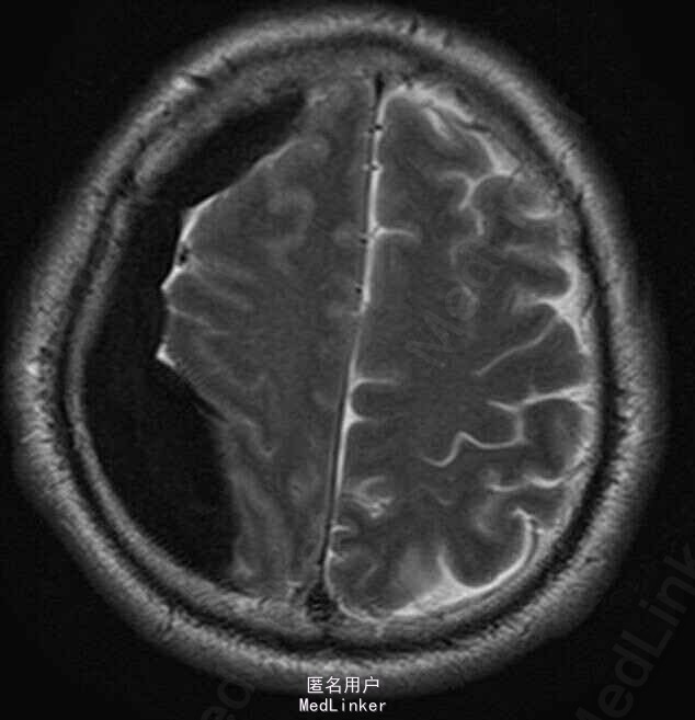
中年男性,明确外伤史;以外伤后头痛起病,MRI提示右颞顶部急性硬膜下出血;

查体 辅查

查体:神清,遵嘱,E4V5M6,双侧瞳孔等大正圆,对光敏; 头颅MRI提示:右侧额颞顶部硬膜下血肿(急性期),中线左移位约9.2mm。

诊断 处理

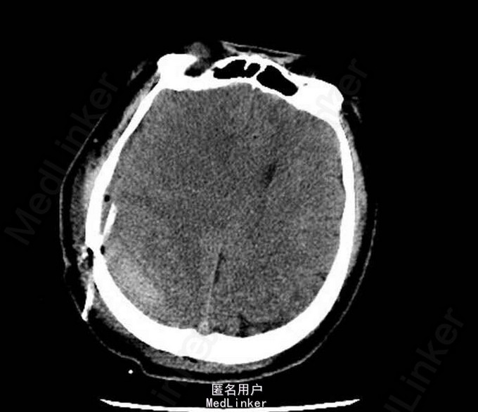
右侧额顶硬膜下血肿诊断明确。出血量较大(>30ml),有手术指征,患者手术愿望强烈,行右额颞顶慢性硬膜下血肿钻孔引流术

随访 讨论

术后患者症状明显改善,复查头颅CT提示血肿清除满意。

发布于 15-09-29 21:09

1 个评论

发送