打开应用

垂体瘤卒中

王医师   中国人民解放军第四一一医院
垂体瘤卒中

主诉 病史

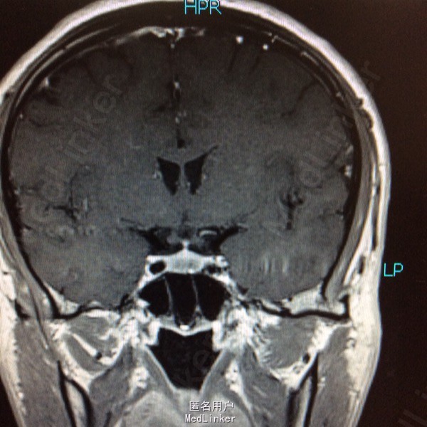
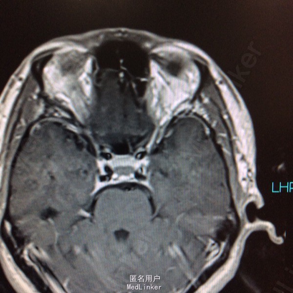
男性,31岁,头痛起病,无恶心呕吐,无视力改变。

查体 辅查

查体未见明显阳性体征,发育正常 头颅CT提示鞍区少量出血 MRI增强提示鞍区占位病变,大小约0.8*1.5cm 考虑垂体瘤卒中

诊断 处理

术前诊断:垂体瘤 择期行经蝶入路垂体瘤切除术 术后病理提示垂体腺瘤

随访 讨论

讨论:卒中垂体瘤的手术时机选择?

发布于 15-09-29 18:07

1 个评论

发送