下载或打开 医联APP 查看完整评论
立即下载
打开APP
患者男,56岁。因“发热伴腰部疼痛3月”入院。现病史:患者于2015年6月中旬无明显诱因出现发热,体温多波动在37-38度之间,最高38.5摄氏度,下午为主,伴下肢关节疼痛。无鼻塞、流涕、喷嚏、咳嗽、咳痰、头痛、头晕、腹痛、腹泻等,以感冒给予治疗后症状无好转,7月中旬到当地医院就诊,考虑为布鲁氏菌感染,给予利福平4片/次,1次/日,多西环素1片/次,2次/日及相关治疗,症状无明显好转,后就诊我院,予以抗感染、退热及对症支持等治疗,确诊为“腰椎结核”后出院行抗结核治疗半月,门诊以“腰椎脓肿”收入我科。起病以来患者一般情况良好。
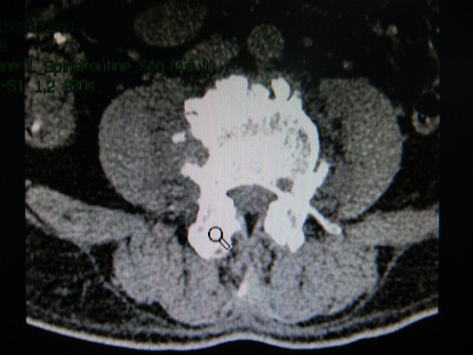
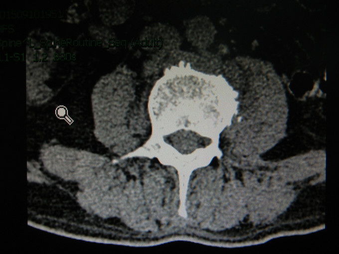
查体:生命体征平稳,心肺腹体检未见明显异常。专科情况无特殊。 辅助检查:MRI示腰椎椎体边缘骨质浓密、增生,部分骨赘骨桥形成。L2-5椎体及椎旁见不规则软组织密度影,与双侧腰大肌分界不清,结合病史符合感染性病变,结核可能性大;


诊断:腰椎结核。 治疗:全麻下行腰椎结核病灶清除术+内固定术。
随访:患者起病典型,反复发作的午后低热伴腰部疼痛应首先想到结核,患者往返于各地医院治疗没有得到理想的结果让我们非常痛心疾首,患者查体未见明显异常可能是误诊的原因之一。