下载或打开 医联APP 查看完整评论
立即下载
打开APP
主诉:发现枕部包块1月余 病史:患儿2月大,第3胎第3产,经剖宫产,查体发现枕后部有一圆形肿物突出,约等3*3大小,透光实验阳性,质软。

查体:神志清醒,枕后部可见一圆形肿物突出,约3*3cm大小。质软,表面无溃疡等 辅助检查:胸片提示新生儿羊水吸入综合症,头颅MR提示局部脑脊膜膨出




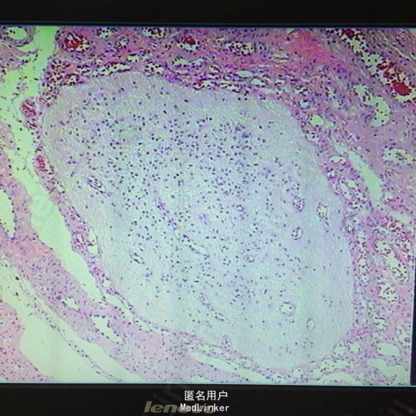
诊断:后枕部脑脊膜膨出 处理:行脑脊膜膨出修补术,病理提示符合脑脊膜膨出

随访:病情稳定出院 讨论:该患者脑脊膜膨诊断上较容易,发病率较低,想探讨下病因的问题,多数脑膨出病例是散发的,只有少数病人有家族史。其余因素如营养、叶酸缺乏以及孕妇体温升高等对发病的影响还不清楚。但是治疗上还是很明确的,(1)新生儿的脑膜膨出应该修补,手术效果常较为理想。 (2)对那些有脑膜脑膨出的患儿,除了要考虑病变的大小、神经组织的多寡及小头畸形的程度外,其他畸形的严重程度也要考虑。如果膨出囊内发育不良的脑组织超过颅内,患儿将来智力发育的可能性为零,可以不考虑手术修补。 (3)手术目的是切除膨出的囊、回纳和保护有功能的神经组织。在修补手术中切除发育不良的组织对神经功能无影响。除了手术的一般危险如麻醉反应、出血以及感染等,修补脑膨出的特殊危险在于囊的内容物以及它们与重要神经血管结构的关系,这些可以通过MRI和CT扫描在术前做出估计。